污泥发粘,粘性很大,是丝状菌膨胀导致,还是说新生菌种导致

[复制链接]
查看1846 | 回复19 | 2024-4-18 09:27:25 来自手机 | 显示全部楼层 |阅读模式

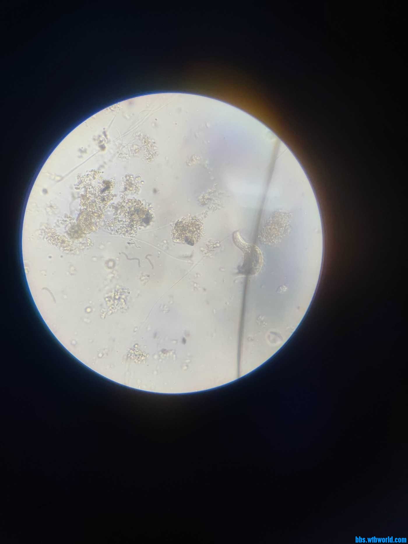
泥非常散,sv30上清液浑浊,出水指标上升,池体表面覆盖一层粽黄色泡沫,污泥很粘,像絮凝剂一样粘,上清液不粘
IMG_20240418_085256.jpg
IMG_20240418_085604.jpg
IMG_20240418_085623.jpg
IMG_20240418_143934.jpg
IMG_20240418_143408.jpg
回复

使用道具 举报

358145379 | 2024-4-18 10:34:12 | 显示全部楼层
什么粘性,有没有可能是你来水导致的,没看到丝状菌明显膨胀,丰度最多1-2级。镜检内的菌种钟虫,表壳虫,还一个纤毛纲都不会导致粘性增加。
回复

使用道具 举报

358145379 | 2024-4-18 10:35:03 | 显示全部楼层
镜检看你的污泥浓度不是很高阿,mlss和mlvss测了么
回复

使用道具 举报

Secretariat | 2024-4-18 11:13:52 来自手机 | 显示全部楼层
丝状菌不多,游离细菌比较多,考虑污泥解体,有机负荷过高
绿水青山就是金山银山
回复

使用道具 举报

渡口 | 2024-4-18 11:18:15 | 显示全部楼层
沉降比上清液浑浊吗  镜检看着生物不是很多    生物造成粘性的可能性不大   
回复

使用道具 举报

碧海王 | 2024-4-18 11:23:02 来自手机 | 显示全部楼层
污泥老化可以导致发粘     
为人类奉献碧水蓝天,给未来留下更多资源!
回复

使用道具 举报

放牛班班长 | 2024-4-18 12:42:01 | 显示全部楼层
SV30咋样呢?
回复

使用道具 举报

可叹 | 2024-4-18 14:51:31 来自手机 | 显示全部楼层
358145379 发表于 2024-4-18 10:34
什么粘性,有没有可能是你来水导致的,没看到丝状菌明显膨胀,丰度最多1-2级。镜检内的菌种钟虫,表壳虫, ...

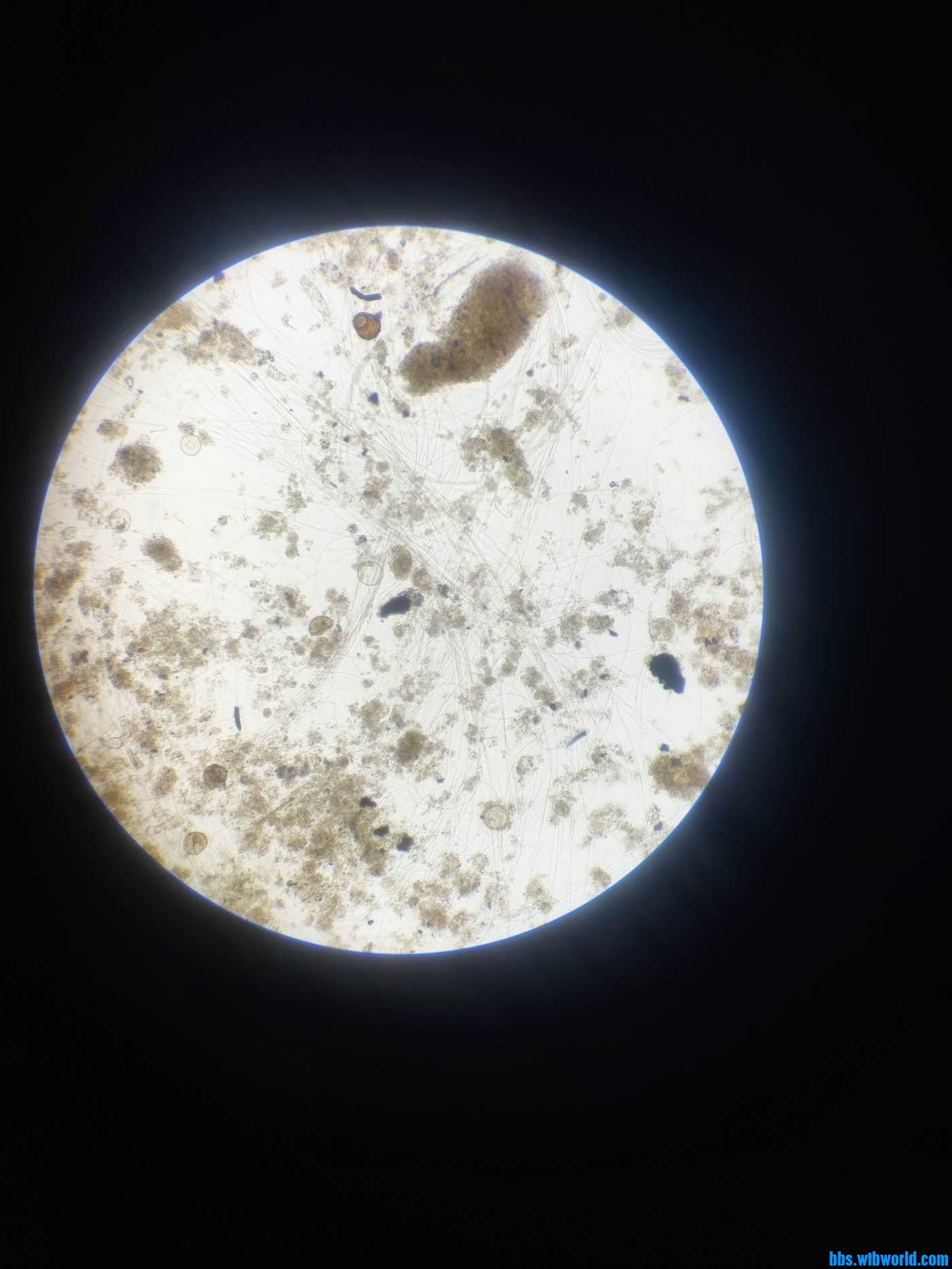
我重新发了几张图,麻烦帮忙分析一下,污泥很粘,上清液浑浊,池内表面棕黄色泡沫,出水指标在上升
回复

使用道具 举报

可叹 | 2024-4-18 14:52:10 来自手机 | 显示全部楼层
358145379 发表于 2024-4-18 10:35
镜检看你的污泥浓度不是很高阿,mlss和mlvss测了么

二沉跑泥了,本来有3.7g的,今天过滤非常慢,难过滤,还没做出来
回复

使用道具 举报

可叹 | 2024-4-18 14:52:26 来自手机 | 显示全部楼层
Secretariat 发表于 2024-4-18 11:13
丝状菌不多,游离细菌比较多,考虑污泥解体,有机负荷过高

我从新发了几张图,麻烦帮忙分析下,感谢
回复

使用道具 举报

您需要登录后才可以回帖 登录 | 注册 微信登录

本版积分规则