求助:SBR污泥浓度低,但是沉降比很高,怎么处理?

[复制链接]
查看1990 | 回复17 | 2021-4-23 15:20:24 | 显示全部楼层 |阅读模式
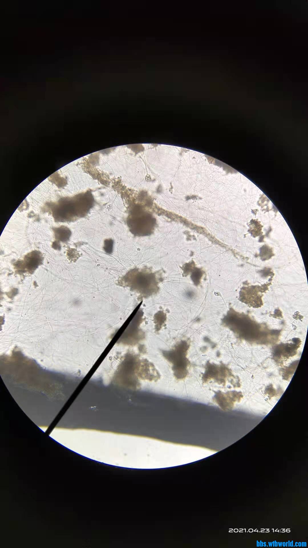
生物发酵制药废水,SBR进水COD约1000,出水180,污泥浓度约2g,SV30:90%,附一些镜检图片,请各位专家多给建议。有什么处理方法抑制污泥膨胀?
99f4f676f104f2a7273e1920f9a3068.jpg
5f69beb854a13dd422a70a8a5094c26.jpg
f86b8fb01c72451b9c411927a50cda5.jpg
回复

使用道具 举报

时栋 | 2021-4-23 15:23:21 | 显示全部楼层

回复

使用道具 举报

wushi | 2021-4-23 15:57:54 | 显示全部楼层
丝状菌膨胀,SBR工艺按理说,不容易发生这样的情况,看看其他人怎么说
回复

使用道具 举报

fmbily | 2021-4-23 16:30:10 | 显示全部楼层
前来学习,可能是高污泥负荷引起的活性污泥膨胀(个人愚见)
回复

使用道具 举报

大梨 | 2021-4-23 16:35:50 | 显示全部楼层
丝状菌爆了,2G污泥浓度,算算食微比,我估计是负荷高了
回复

使用道具 举报

时栋 | 2021-4-23 16:56:17 | 显示全部楼层
大梨 发表于 2021-4-23 16:35
丝状菌爆了,2G污泥浓度,算算食微比,我估计是负荷高了

但是出水又算比较正常吧?COD和氨氮都比较低
回复

使用道具 举报

时栋 | 2021-4-23 16:57:47 | 显示全部楼层
fmbily 发表于 2021-4-23 16:30
前来学习,可能是高污泥负荷引起的活性污泥膨胀(个人愚见)

镜检发现不少钟虫
回复

使用道具 举报

古古很贪睡 | 2021-4-23 17:02:29 来自手机 | 显示全部楼层
SBR也不大,不行就换泥吧或者漂白粉也可以灭杀
回复

使用道具 举报

lvjian223 | 2021-4-23 17:25:06 来自手机 | 显示全部楼层
把各项运行参数控制正常,然后排一部分泥,慢慢置换
回复

使用道具 举报

默读_ | 2021-4-23 17:54:59 来自手机 | 显示全部楼层
从工艺参数上解决吧,看看是哪儿出了问题。
回复

使用道具 举报

您需要登录后才可以回帖 登录 | 注册 微信登录

本版积分规则