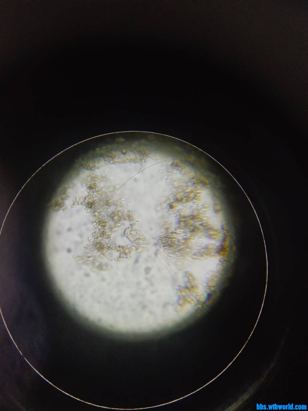
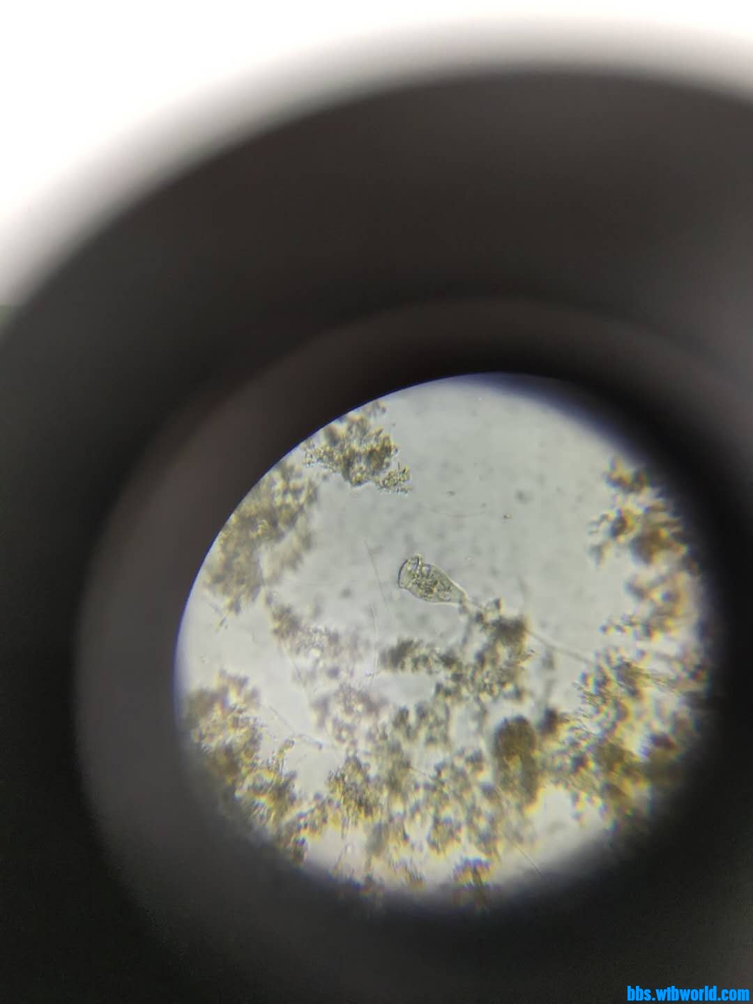
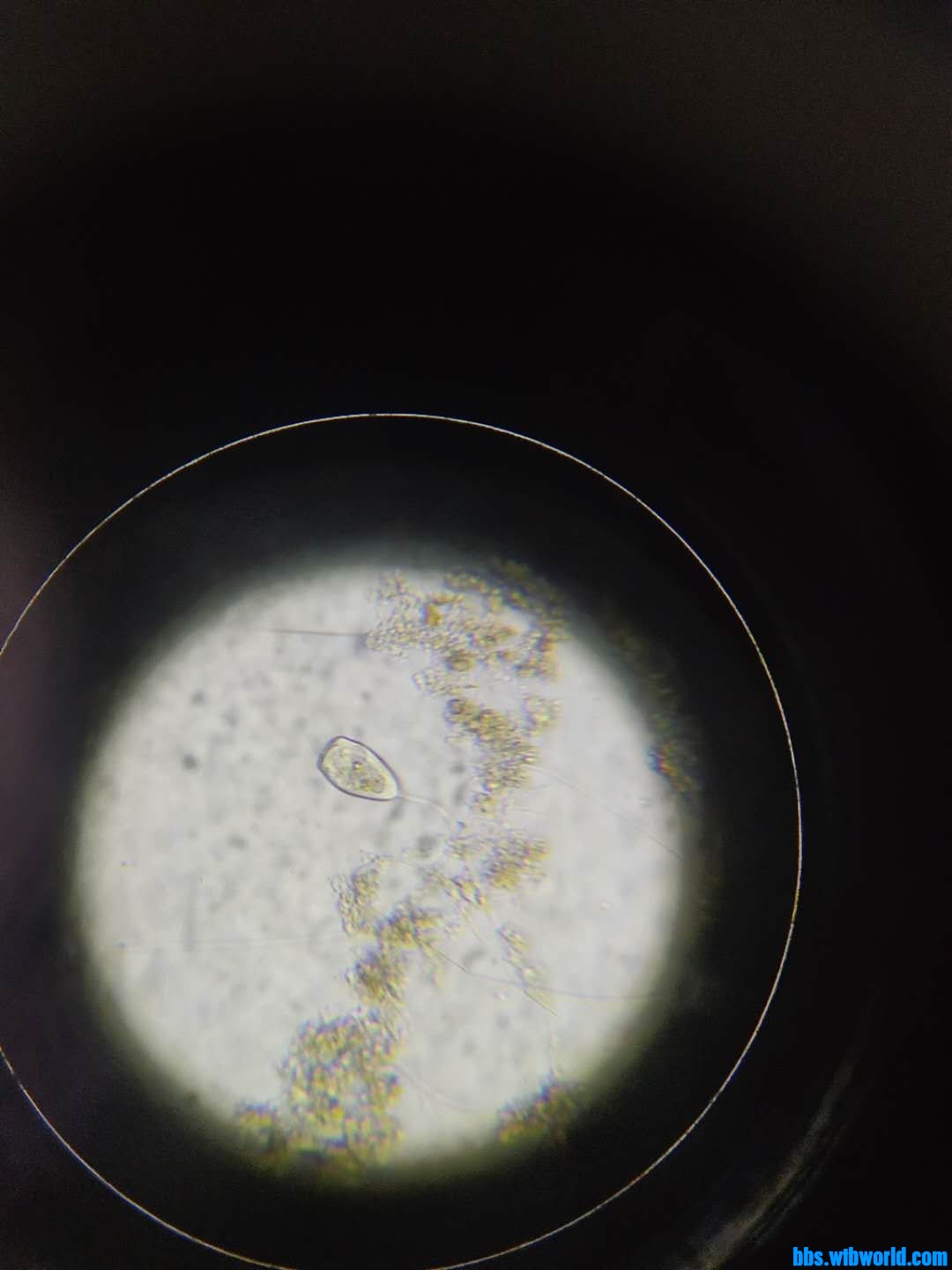
系统正常了和大家分享下

[复制链接]
查看1590 | 回复10 | 2020-9-14 14:59:49 来自手机 | 显示全部楼层 |阅读模式
系统恢复正常和大家分享一下
wechat_upload16000666955f5f14872eedb
wechat_upload16000666955f5f148758cbd
wechat_upload16000666955f5f14877dde2
wechat_upload16000666955f5f14879e775
wechat_upload16000666955f5f1487c48fe
wechat_upload16000666955f5f1487e5783
wechat_upload16000666965f5f148815e3f
wechat_upload16000666965f5f1488324eb
wechat_upload16000666965f5f1488558fc
回复

使用道具 举报

非常完美 | 2020-9-14 16:12:58 来自手机 | 显示全部楼层
钟虫出现就好了
爱学习的菜鸟
回复

使用道具 举报

多多 | 2020-9-14 16:15:37 来自手机 | 显示全部楼层
可以,可以,很不错,注意维持
回复

使用道具 举报

多多 | 2020-9-14 16:18:45 来自手机 | 显示全部楼层
看着钟虫都处于少年,还可以出现几天,过几天要注意工艺运行情况
回复

使用道具 举报

李雪 | 2020-9-14 16:28:44 来自手机 | 显示全部楼层
@_@ 发表于 2020-9-14 16:18
看着钟虫都处于少年,还可以出现几天,过几天要注意工艺运行情况

嗯嗯应该是污泥生长期,白色泡沫。后期需要提高污泥负荷吗?还是需要注意哪些运行情况
回复

使用道具 举报

阿土 | 2020-9-14 17:14:48 来自手机 | 显示全部楼层
@_@ 发表于 2020-9-14 16:18
看着钟虫都处于少年,还可以出现几天,过几天要注意工艺运行情况

怎么看它是少年?
回复

使用道具 举报

多多 | 2020-9-14 17:20:36 来自手机 | 显示全部楼层
李雪 发表于 2020-9-14 16:28
嗯嗯应该是污泥生长期,白色泡沫。后期需要提高污泥负荷吗?还是需要注意哪些运行情况 ...

暂时不用提高污泥负荷,你注意污泥浓度的控制
回复

使用道具 举报

多多 | 2020-9-14 17:22:32 来自手机 | 显示全部楼层
@_@ 发表于 2020-9-14 17:20
暂时不用提高污泥负荷,你注意污泥浓度的控制

另外测个ph,注意溶氧控制,回流,是否排泥,排泥时间控制,自我进行数据观察,对比
回复

使用道具 举报

| 2020-9-14 21:00:49 来自手机 | 显示全部楼层
不错不错,看起来很完美
回复

使用道具 举报

李玉明 | 2020-9-14 21:22:26 来自手机 | 显示全部楼层
小小钟虫,大家都挺喜欢的。
回复

使用道具 举报

您需要登录后才可以回帖 登录 | 注册 微信登录

本版积分规则