设为首页
收藏本站
开启辅助访问
切换到窄版
扫一扫访问当前网址
登录
欢迎使用微信登录,一键注册!
微信扫一扫,快速登录
社区
BBS
每日答题
积分充值
积分商城
信息中心
搜索
搜索
节
春
乐
快
本版
帖子
用户
污托邦社区
»
社区
›
技术专区
›
微生物镜检
›
9月11日镜检又见轮虫进食
返回列表
发新帖
9月11日镜检又见轮虫进食
[复制链接]
742
|
2
|
2020-9-11 19:13:33
来自手机
|
显示全部楼层
|
阅读模式
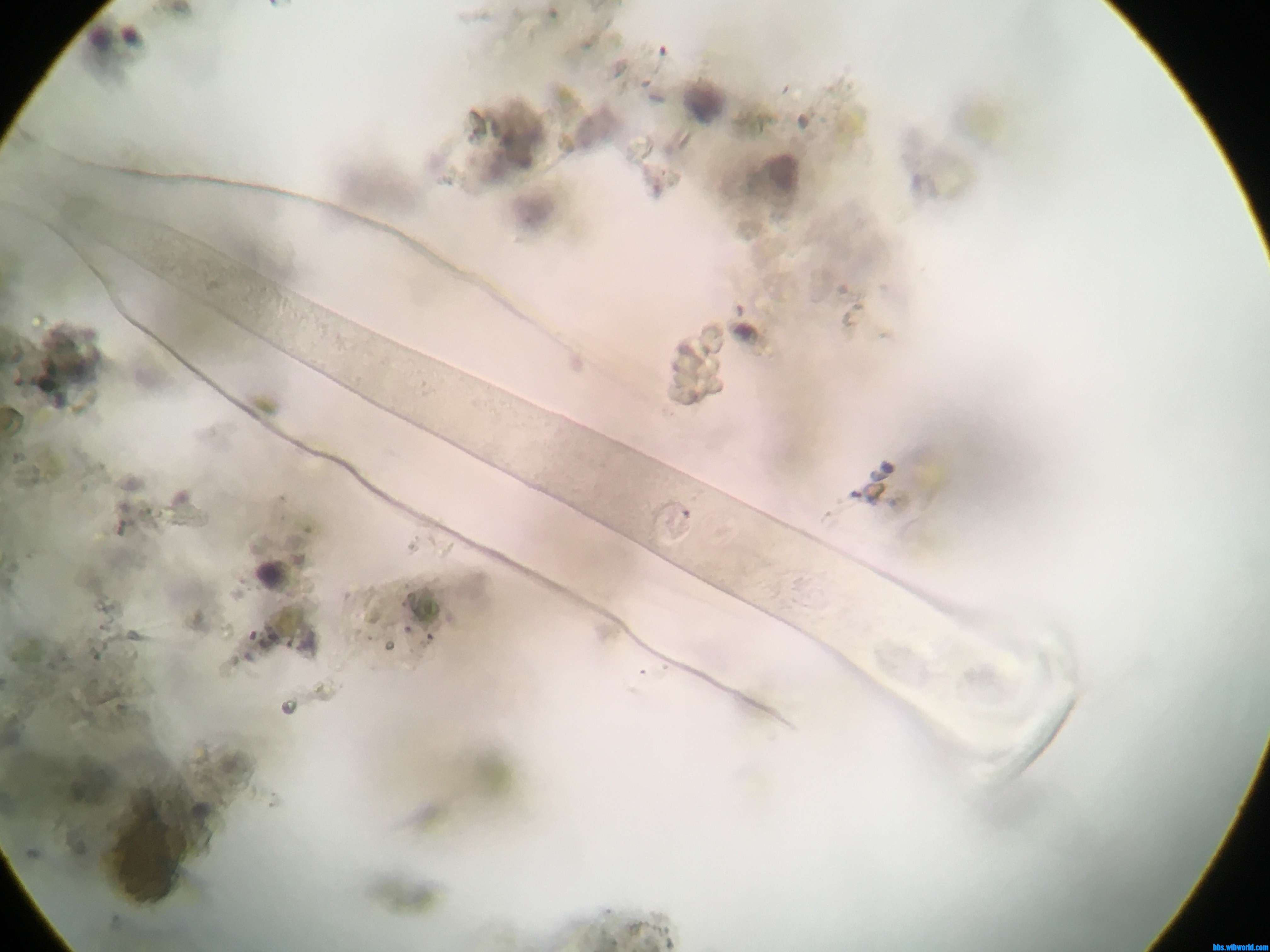
又打扰轮虫大哥吃饭。
吃饱了,不动了。
终于不是只剩外壳了。
前段时间加药过多,镜检到处可以看到一团团黄色的絮凝团。
回复
使用道具
举报
非常完美
|
2020-9-11 23:11:25
来自手机
|
显示全部楼层
你应该不只打扰它
吃饭
爱学习的菜鸟
回复
使用道具
举报
耄耄
|
2020-9-12 20:18:32
来自手机
|
显示全部楼层
好大一次猪吻。可以过不了多久就渴死了。打扰他吃饭还是小事。
回复
使用道具
举报
返回列表
发新帖
高级模式
B
Color
Image
Link
Quote
Code
Smilies
您需要登录后才可以回帖
登录
|
欢迎使用微信登录,一键注册!
本版积分规则
发表回复
回帖并转播
回帖后跳转到最后一页
李玉明
70
主题
891
回帖
5001
积分
高级工程师
高级工程师, 积分 5001, 距离下一级还需 999 积分
高级工程师, 积分 5001, 距离下一级还需 999 积分
积分
5001
加好友
发消息
回复楼主
返回列表
工艺交流
微生物镜检
水质化验
调试日志
悬赏
图文推荐
硝化系统快速恢复的案例分享!
2022-09-11
生化系统浅见
2021-08-25
求助大神们板框压滤机压泥泥饼不成型
2021-09-16
好氧池溶解氧一直升高
2023-02-03
进水COD 800到1200,氨氮35,总氮45,总磷的话0.8
2025-09-24
热门排行
1
过年期间停运污水
2
中间那一大坨是丝状菌吗?
3
电絮凝设备设计求助
4
看看这样的泡沫问题
5
求助,帮忙看一下污泥沉降比。
6
锤吸虫很久才出现一次
7
溶气气浮机的电控原理
8
镜检,大神帮忙分析一下
9
全自动压滤机,自动卸泥,自动清洗
10
粪大肠菌群和粪大肠菌群菌值的关系?