设为首页
收藏本站
开启辅助访问
切换到窄版
扫一扫访问当前网址
登录
欢迎使用微信登录,一键注册!
微信扫一扫,快速登录
社区
BBS
每日答题
积分充值
积分商城
信息中心
搜索
搜索
节
春
乐
快
本版
帖子
用户
污托邦社区
»
社区
›
技术专区
›
微生物镜检
›
新设备在路上,这个先用着吧
返回列表
发新帖
新设备在路上,这个先用着吧
[复制链接]
411
|
1
|
2020-8-26 14:34:35
来自手机
|
显示全部楼层
|
阅读模式
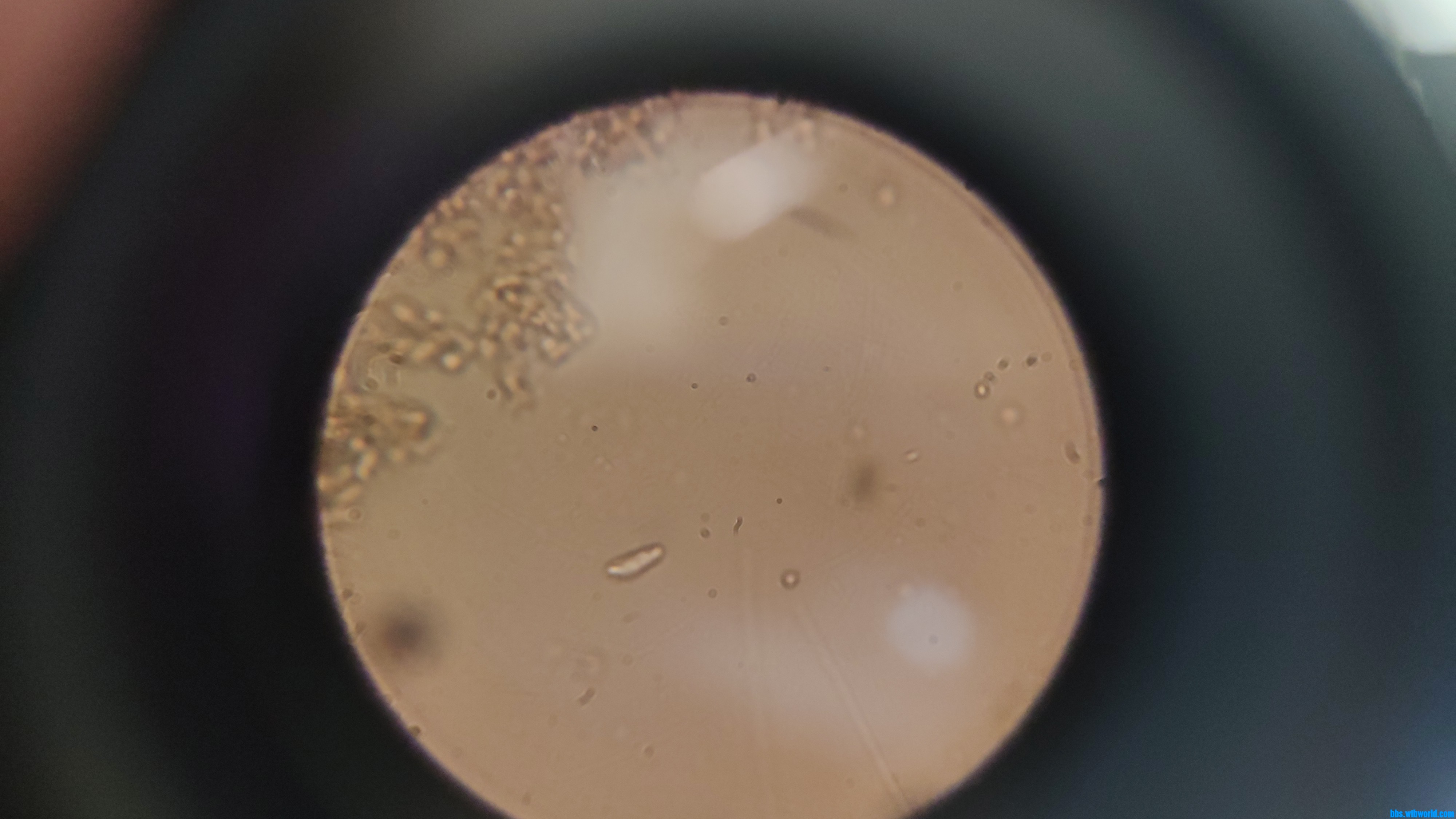
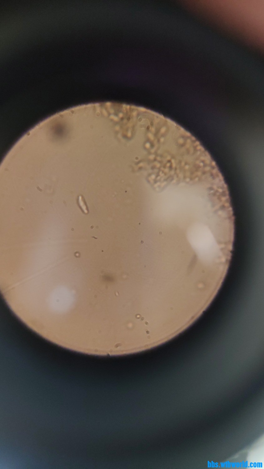
目前为止很多这个,
这是啥啊
回复
使用道具
举报
古细菌
|
2020-8-26 14:35:20
来自手机
|
显示全部楼层
前2图460倍 后图160倍
回复
使用道具
举报
返回列表
发新帖
高级模式
B
Color
Image
Link
Quote
Code
Smilies
您需要登录后才可以回帖
登录
|
欢迎使用微信登录,一键注册!
本版积分规则
发表回复
回帖并转播
回帖后跳转到最后一页
浏览过的版块
工艺交流
文档资料
古细菌
67
主题
706
回帖
3082
积分
版主
积分
3082
加好友
发消息
回复楼主
返回列表
工艺交流
微生物镜检
水质化验
调试日志
悬赏
图文推荐
硝化系统快速恢复的案例分享!
2022-09-11
生化系统浅见
2021-08-25
求助大神们板框压滤机压泥泥饼不成型
2021-09-16
好氧池溶解氧一直升高
2023-02-03
进水COD 800到1200,氨氮35,总氮45,总磷的话0.8
2025-09-24
热门排行
1
中间那一大坨是丝状菌吗?
2
过年期间停运污水
3
电絮凝设备设计求助
4
看看这样的泡沫问题
5
求助,帮忙看一下污泥沉降比。
6
锤吸虫很久才出现一次
7
溶气气浮机的电控原理
8
镜检,大神帮忙分析一下
9
全自动压滤机,自动卸泥,自动清洗
10
粪大肠菌群和粪大肠菌群菌值的关系?