工业废水AAO工艺镜检

[复制链接]
查看981 | 回复8 | 2020-8-25 20:19:33 来自手机 | 显示全部楼层 |阅读模式
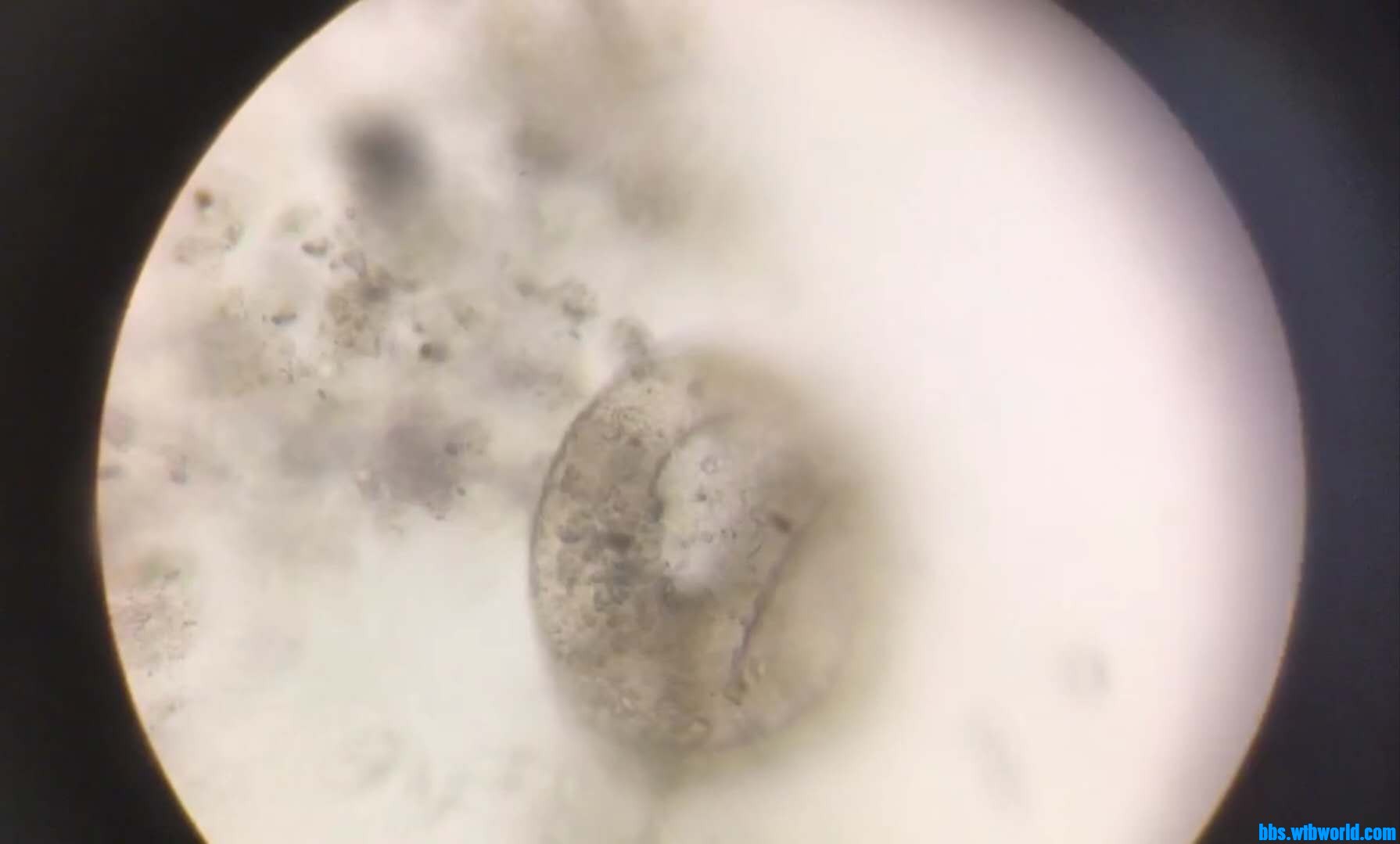
昨天和大伙讨论了这个虫子,今天我取了个16×40倍来看,感觉分层一样,一边拍一边调微调,有点感觉看b超。不知道是溶解氧降下去还是其他,之前看到的轮虫几乎没有了。
wechat_upload15983697815f452ff538dc5
回复

使用道具 举报

阿土 | 2020-8-25 21:00:11 来自手机 | 显示全部楼层
有点像壳虫
回复

使用道具 举报

耄耄 | 2020-8-26 07:16:18 来自手机 | 显示全部楼层
这大概是匣壳虫。轮虫大量出现的时候也可能是轻度的解体。还要观察其他微生物去判断整体情况。这两个微生物的变化不能肯定发生了什么。
回复

使用道具 举报

pcilry | 2020-8-26 10:22:06 | 显示全部楼层
匣壳虫,出现环境与表壳虫相同
回复

使用道具 举报

李玉明 | 2020-8-26 13:56:45 来自手机 | 显示全部楼层
耄耄 发表于 2020-8-26 07:16
这大概是匣壳虫。轮虫大量出现的时候也可能是轻度的解体。还要观察其他微生物去判断整体情况。这两个微生物 ...

经过几天加强排泥,控制溶解氧。轮虫没之前多了。sv30的上清液悬浮物也少了。
回复

使用道具 举报

李玉明 | 2020-8-26 13:57:31 来自手机 | 显示全部楼层
pcilry 发表于 2020-8-26 10:22
匣壳虫,出现环境与表壳虫相同

那就是有相近的指示作用。
回复

使用道具 举报

Secretariat | 2020-8-26 14:14:55 来自手机 | 显示全部楼层
这个是表壳虫吧
绿水青山就是金山银山
回复

使用道具 举报

super张~ | 2020-8-26 19:15:22 来自手机 | 显示全部楼层
表壳虫吗
环保不易且行且珍惜
回复

使用道具 举报

耄耄 | 2020-8-26 22:55:12 来自手机 | 显示全部楼层
57267464 发表于 2020-8-26 13:56
经过几天加强排泥,控制溶解氧。轮虫没之前多了。sv30的上清液悬浮物也少了。 ...

那就对了,工况能符合的上。解体好转,轮虫数量也会减少。记住一点,轮虫数量不适合太多。太少说明活性差,太多说明污泥解体,当然肯定还有其他污泥指向的生物。
看镜像还是要看整体,多数微生物都指向同一状态才能说明的发生了什么。
回复

使用道具 举报

您需要登录后才可以回帖 登录 | 注册 微信登录

本版积分规则