AO好氧池镜检照片

[复制链接]
查看288 | 回复6 | 2026-1-21 13:12:34 来自手机 | 显示全部楼层 |阅读模式
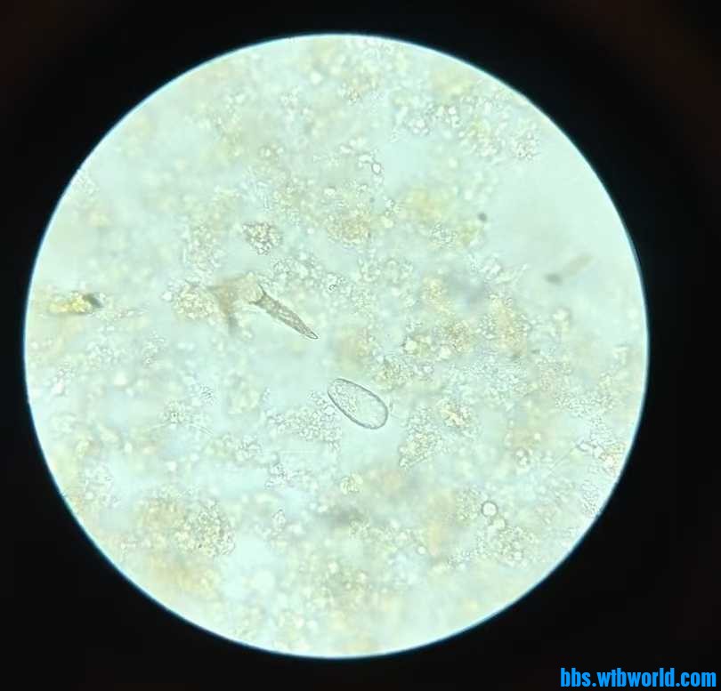
AO工艺末端好氧池镜检照片
mmexport1768972345064.jpg
回复

使用道具 举报

Secretariat | 2026-1-21 13:54:04 来自手机 | 显示全部楼层
这个镜面太小了,用100倍看
绿水青山就是金山银山
回复

使用道具 举报

甘雨 | 2026-1-21 14:15:17 | 显示全部楼层
啥都看不清,你需要调好。
回复

使用道具 举报

渡口 | 2026-1-21 15:26:40 | 显示全部楼层
啥也看不出来   镜检看虫虫你用400倍的  
回复

使用道具 举报

迪士尼在逃保安 | 2026-1-21 16:51:30 来自手机 | 显示全部楼层
Secretariat 发表于 2026-1-21 13:54
这个镜面太小了,用100倍看

400的看着也就这样了
mmexport1768985387744.jpg
回复

使用道具 举报

Secretariat | 2026-1-22 08:48:27 来自手机 | 显示全部楼层
迪士尼在逃保安 发表于 2026-1-21 16:51
400的看着也就这样了

用100倍来看絮体的状态
绿水青山就是金山银山
回复

使用道具 举报

渡口 | 2026-1-22 09:08:42 | 显示全部楼层
迪士尼在逃保安 发表于 2026-1-21 16:51
400的看着也就这样了

这不是磷壳虫和玫瑰旋轮虫嘛   比你前面的清楚多了    你微调一下更让清楚  
回复

使用道具 举报

您需要登录后才可以回帖 登录 | 注册 微信登录

本版积分规则