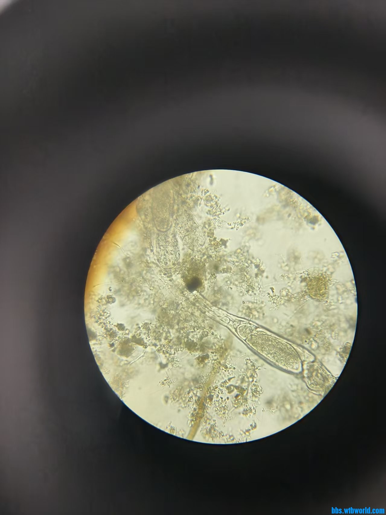
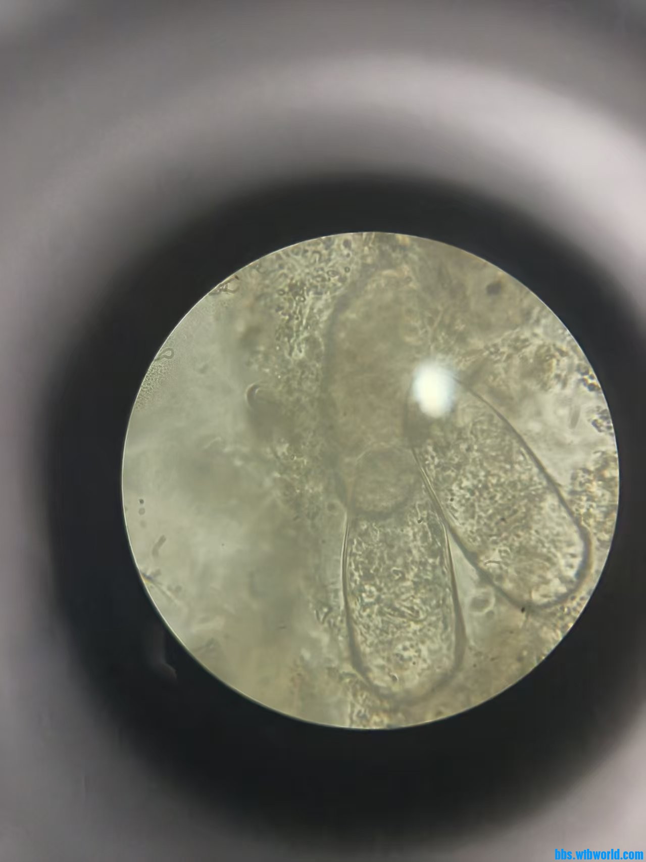
轮虫还能生孩子吗???为什么尾部三个会动的大圆圈

[复制链接]
查看276 | 回复5 | 2026-1-16 11:52:26 | 显示全部楼层 |阅读模式
0a6d75d7be682ec75dead60dcfdeae68.jpg 54b10d6419fd0c2abd727fd2051bdce6.jpg 3b1b54847b26d77e46fb81c4093c00c2.jpg
回复

使用道具 举报

渡口 | 2026-1-17 08:19:28 | 显示全部楼层
能  并且是胎生   我忘记在哪里看过一个视频
回复

使用道具 举报

甘雨 | 2026-1-17 09:09:31 | 显示全部楼层
这叫繁殖,不是生孩子
回复

使用道具 举报

Secretariat | 2026-1-17 11:51:35 来自手机 | 显示全部楼层
这是一起的么?我之前只见过托一个的!
绿水青山就是金山银山
回复

使用道具 举报

啦啦啦辣 | 2026-1-17 22:54:08 来自手机 | 显示全部楼层
渡口 发表于 2026-1-17 08:19
能  并且是胎生   我忘记在哪里看过一个视频

是不是细胞分裂?
回复

使用道具 举报

渡口 | 2026-1-18 10:18:30 | 显示全部楼层

看着就像是一个小的轮虫  
回复

使用道具 举报

您需要登录后才可以回帖 登录 | 注册 微信登录

本版积分规则