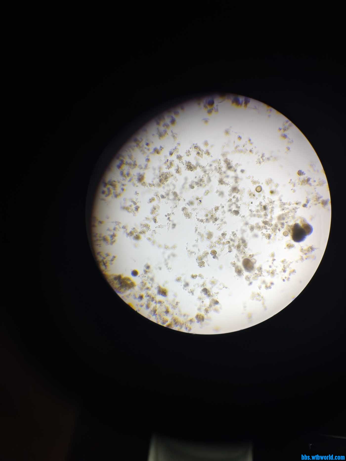
帮忙看一下镜检菌胶团是不是有点碎呀,放大好像还有丝状菌是吗,

[复制链接]
查看291 | 回复5 | 2026-1-7 18:46:11 来自手机 | 显示全部楼层 |阅读模式
1月7日污水检测结果
压泥水池氨氮:640cod:4924
2号爆曝气池
氨氮:65cod:79
4号爆气池
氨氮:43cod:93
7号爆气池
氨氮:6cod:99
清水池
氨氮:6cod:99
进水总磷:15.85
出水总磷:9
IMG_20260107_183028.jpg
IMG_20260107_183049.jpg
IMG_20260107_183011.jpg
IMG_20260107_183215.jpg
IMG_20260107_183317.jpg
IMG_20260107_183356.jpg
Screenshot_20260107_184538.jpg
回复

使用道具 举报

放牛班班长 | 2026-1-7 20:17:39 来自手机 | 显示全部楼层
菌胶团整体看着还可以,稍微有些散,不算严重。丝状菌后面几张看是有。你们出水氨氮9是一直在这个水平,还是会有更低的时候。
回复

使用道具 举报

倚窗听风雨 | 2026-1-7 21:48:07 来自手机 | 显示全部楼层
放牛班班长 发表于 2026-1-7 20:17
菌胶团整体看着还可以,稍微有些散,不算严重。丝状菌后面几张看是有。你们出水氨氮9是一直在这个水平,还 ...

出水加碱氨氮就会更低,二号四号曝气池加碱氨氮也降不下来,以前都是个位数
回复

使用道具 举报

甘雨 | 2026-1-8 09:03:33 | 显示全部楼层
倚窗听风雨 发表于 2026-1-7 21:48
出水加碱氨氮就会更低,二号四号曝气池加碱氨氮也降不下来,以前都是个位数 ...

二、四号保持PH在7.3以上,其后面有缺氧池吗?有缺氧池可以调大回流试试。
回复

使用道具 举报

Secretariat | 2026-1-8 10:44:45 来自手机 | 显示全部楼层
没多少丝状菌!絮体粒径小,活性不足,吸附能力不够
绿水青山就是金山银山
回复

使用道具 举报

寻梦少年 | 2026-1-8 13:17:40 | 显示全部楼层
菌胶团是有点散,后面几张有丝状菌出现的
回复

使用道具 举报

您需要登录后才可以回帖 登录 | 注册 微信登录

本版积分规则