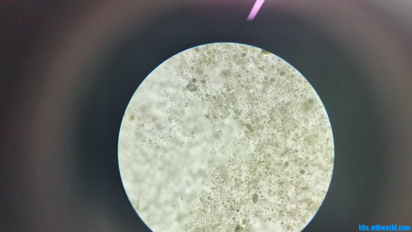
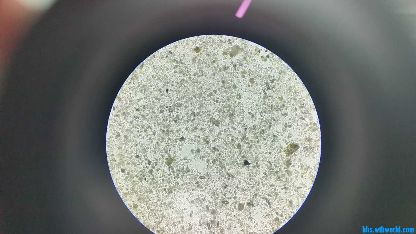
生活污水厂,流入高浓度的氨氮废水,

[复制链接]
查看393 | 回复11 | 2026-1-5 10:42:39 来自手机 | 显示全部楼层 |阅读模式
大神知道这是什么虫子?再看看污泥活性如何
wx_camera_1767580186112.jpg
wx_camera_1767580064560.jpg
wx_camera_1767580038404.jpg
wx_camera_1767579481927.jpg
回复

使用道具 举报

渡口 | 2026-1-5 14:21:58 | 显示全部楼层
拍的不清楚  第一四魔门虫 还是鞘居虫   第三张草履虫?
回复

使用道具 举报

渡口 | 2026-1-5 14:24:18 | 显示全部楼层
你这个上清液是不是有悬浮颗粒  
回复

使用道具 举报

LYD、 | 2026-1-5 18:16:05 来自手机 | 显示全部楼层
渡口 发表于 2026-1-5 14:24
你这个上清液是不是有悬浮颗粒

对,上清液有悬浮物,
回复

使用道具 举报

阿土 | 2026-1-6 08:22:49 来自手机 | 显示全部楼层
絮体菌胶团不怎么好,放大补个照片看看
回复

使用道具 举报

Secretariat | 2026-1-6 11:59:34 来自手机 | 显示全部楼层
污泥有点老化了
绿水青山就是金山银山
回复

使用道具 举报

huboss | 2026-1-8 22:00:33 | 显示全部楼层

怎么判断老化的呢
回复

使用道具 举报

幸运速递 | 2026-1-9 09:09:19 来自手机 | 显示全部楼层
渡口 发表于 2026-1-5 14:21
拍的不清楚  第一四魔门虫 还是鞘居虫   第三张草履虫?

第一张感觉更像鞘居虫
回复

使用道具 举报

渡口 | 2026-1-9 16:49:33 | 显示全部楼层
幸运速递 发表于 2026-1-9 09:09
第一张感觉更像鞘居虫

嗯  拍的不清晰  
回复

使用道具 举报

Secretariat | 2026-1-10 09:07:56 来自手机 | 显示全部楼层
huboss 发表于 2026-1-8 22:00
怎么判断老化的呢

零零星星的小黑点比较多,这种一般是物化污泥
绿水青山就是金山银山
回复

使用道具 举报

您需要登录后才可以回帖 登录 | 注册 微信登录

本版积分规则