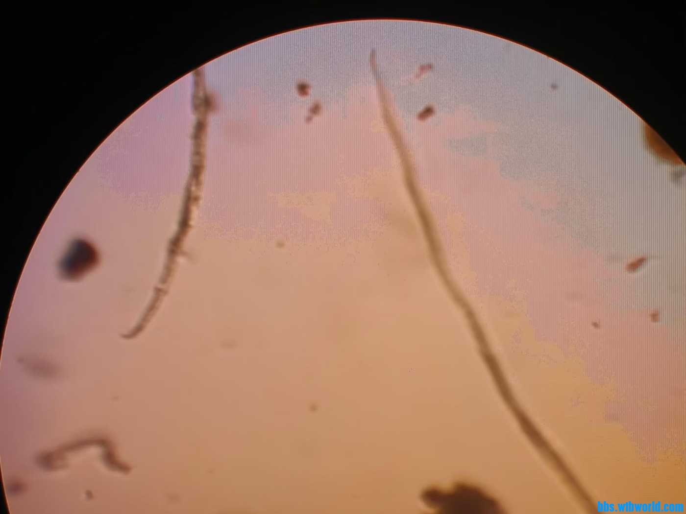
这个丝状菌算多吗?

[复制链接]
查看457 | 回复12 | 2025-12-16 16:46:17 来自手机 | 显示全部楼层 |阅读模式
这个丝状菌多吗?算丝状菌膨胀吗?
mmexport1765874457753.jpg
mmexport1765874456139.jpg
mmexport1765874454405.jpg
mmexport1765874451034.jpg
mmexport1765874449125.jpg
mmexport1765874452765.jpg
mmexport1765874459106.jpg
回复

使用道具 举报

lvjian223 | 2025-12-16 17:16:47 来自手机 | 显示全部楼层
@放牛班班长
回复

使用道具 举报

放牛班班长 | 2025-12-16 17:56:53 | 显示全部楼层

不算多 不算膨胀 你们现在SV30照片也上传上来看看
回复

使用道具 举报

Secretariat | 2025-12-16 17:59:01 来自手机 | 显示全部楼层
丝状菌不多,不影响污泥
绿水青山就是金山银山
回复

使用道具 举报

lvjian223 | 2025-12-16 18:10:41 来自手机 | 显示全部楼层
就是我之前说的污泥浓度26000mg/l的那个,现在排了8天泥了,污泥浓度降到12000mg/l了
mmexport1765879711376.jpg
回复

使用道具 举报

可叹 | 2025-12-16 19:32:11 来自手机 | 显示全部楼层
给你看个多一些的,你那个一两根,别怕,算下SVI,控制70-150之间就行了
IMG_20251216_193311.jpg
回复

使用道具 举报

lvjian223 | 2025-12-17 01:04:17 来自手机 | 显示全部楼层
确实没这个多
回复

使用道具 举报

放牛班班长 | 2025-12-17 07:40:01 来自手机 | 显示全部楼层
lvjian223 发表于 2025-12-16 18:10
就是我之前说的污泥浓度26000mg/l的那个,现在排了8天泥了,污泥浓度降到12000mg/l了 ...

这个8天降到12000,确实速度有些快了,注意出水水质变化
回复

使用道具 举报

阿土 | 2025-12-17 09:16:17 来自手机 | 显示全部楼层
放大到看菌胶团
回复

使用道具 举报

lvjian223 | 2025-12-17 09:55:51 来自手机 | 显示全部楼层
阿土 发表于 2025-12-17 09:16
放大到看菌胶团

我这边菌胶团不好,很碎
回复

使用道具 举报

您需要登录后才可以回帖 登录 | 注册 微信登录

本版积分规则