设为首页
收藏本站
开启辅助访问
切换到窄版
扫一扫访问当前网址
登录
注册
微信扫一扫,快速登录
社区
BBS
获取积分
积分商城
信息中心
搜索
搜索
本版
帖子
用户
WTB环保社区
»
社区
›
技术专区
›
微生物镜检
›
微生物镜检问题请教
返回列表
发新帖
微生物镜检问题请教
[复制链接]
610
|
3
|
2025-7-20 16:39:44
来自手机
|
显示全部楼层
|
阅读模式
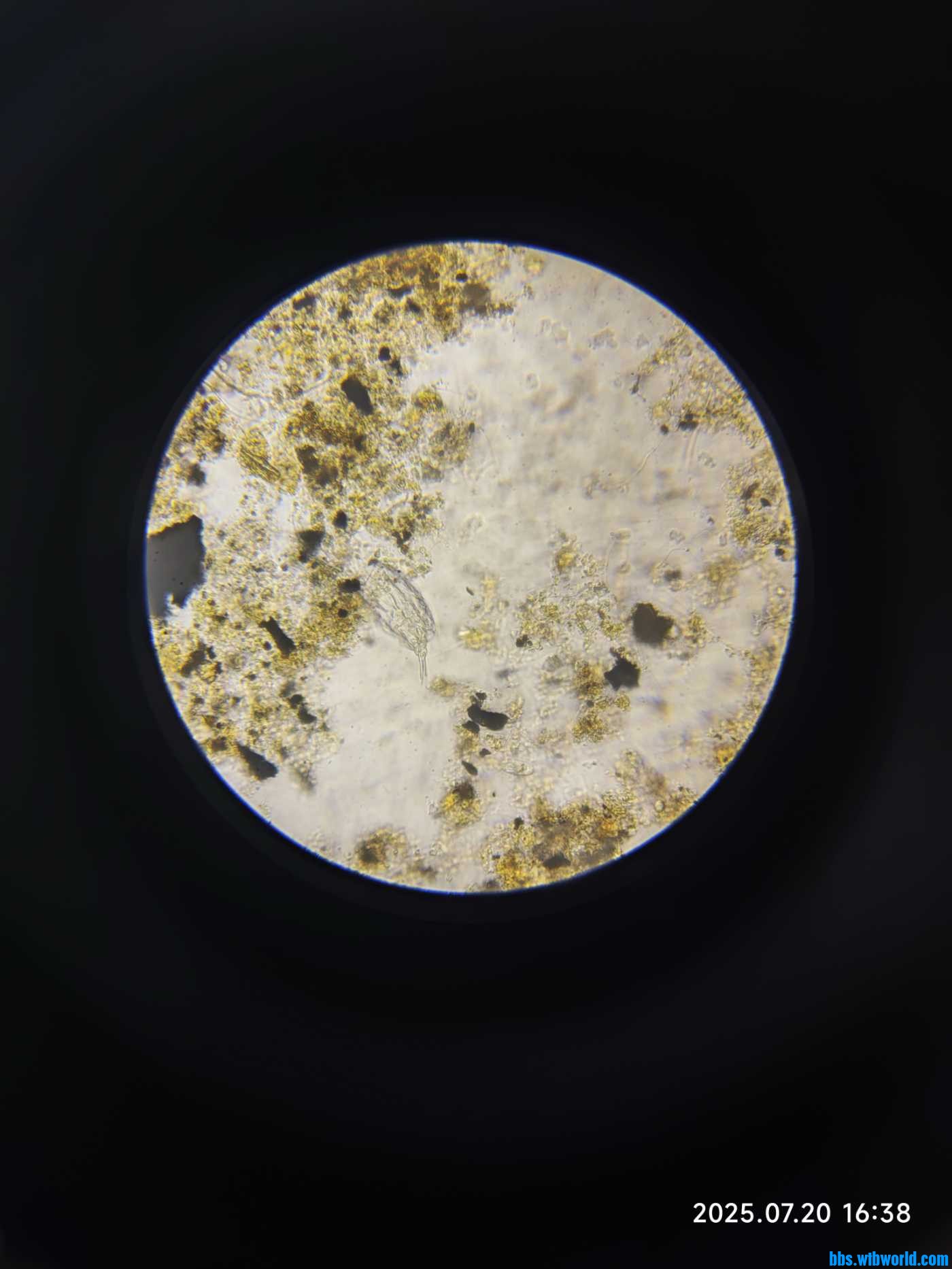
这个虫子是棘尾虫吗
回复
使用道具
举报
渡口
|
2025-7-21 09:42:10
|
显示全部楼层
这是轮虫
回复
使用道具
举报
碧海王
|
2025-7-21 12:40:47
来自手机
|
显示全部楼层
轮虫
为人类奉献碧水蓝天,给未来留下更多资源!
回复
使用道具
举报
芳753940
|
2025-9-1 08:12:32
来自手机
|
显示全部楼层
同意楼上是轮虫
回复
使用道具
举报
返回列表
发新帖
高级模式
B
Color
Image
Link
Quote
Code
Smilies
您需要登录后才可以回帖
登录
|
注册
本版积分规则
发表回复
回帖并转播
回帖后跳转到最后一页
浏览过的版块
机械设备
随手拍
AAA薄皮大西瓜批
10
主题
28
回帖
299
积分
助理工程师
助理工程师, 积分 299, 距离下一级还需 701 积分
助理工程师, 积分 299, 距离下一级还需 701 积分
积分
299
加好友
发消息
回复楼主
返回列表
工艺交流
微生物镜检
膜技术交流
水质化验
调试日志
悬赏
图文推荐
硝化系统快速恢复的案例分享!
2022-09-11
生化系统浅见
2021-08-25
求助大神们板框压滤机压泥泥饼不成型
2021-09-16
好氧池溶解氧一直升高
2023-02-03
进水COD 800到1200,氨氮35,总氮45,总磷的话0.8
2025-09-24
热门排行
1
各位老师看一下这些都是什么
2
【调研】污水处理一线工程师,大家最缺什么
3
罗茨风机整机生锈 完整处理方案
4
寻找做水处理工艺的专家
5
sv30污泥上浮
6
进水ph正常,好氧池ph持续偏低(5-6)是怎
7
一体化设备出水发黄
8
好氧泥少,不投菌的情况下怎么快速养泥
9
好氧池污泥发黑
10
新投加的市政污泥絮体小