设为首页
收藏本站
开启辅助访问
切换到窄版
扫一扫访问当前网址
登录
欢迎使用微信登录,一键注册!
微信扫一扫,快速登录
社区
BBS
每日答题
积分充值
积分商城
信息中心
搜索
搜索
本版
帖子
用户
污托邦社区
»
社区
›
技术专区
›
微生物镜检
›
大佬们帮忙看看这是什么虫,之前从来没见过, ...
返回列表
发新帖
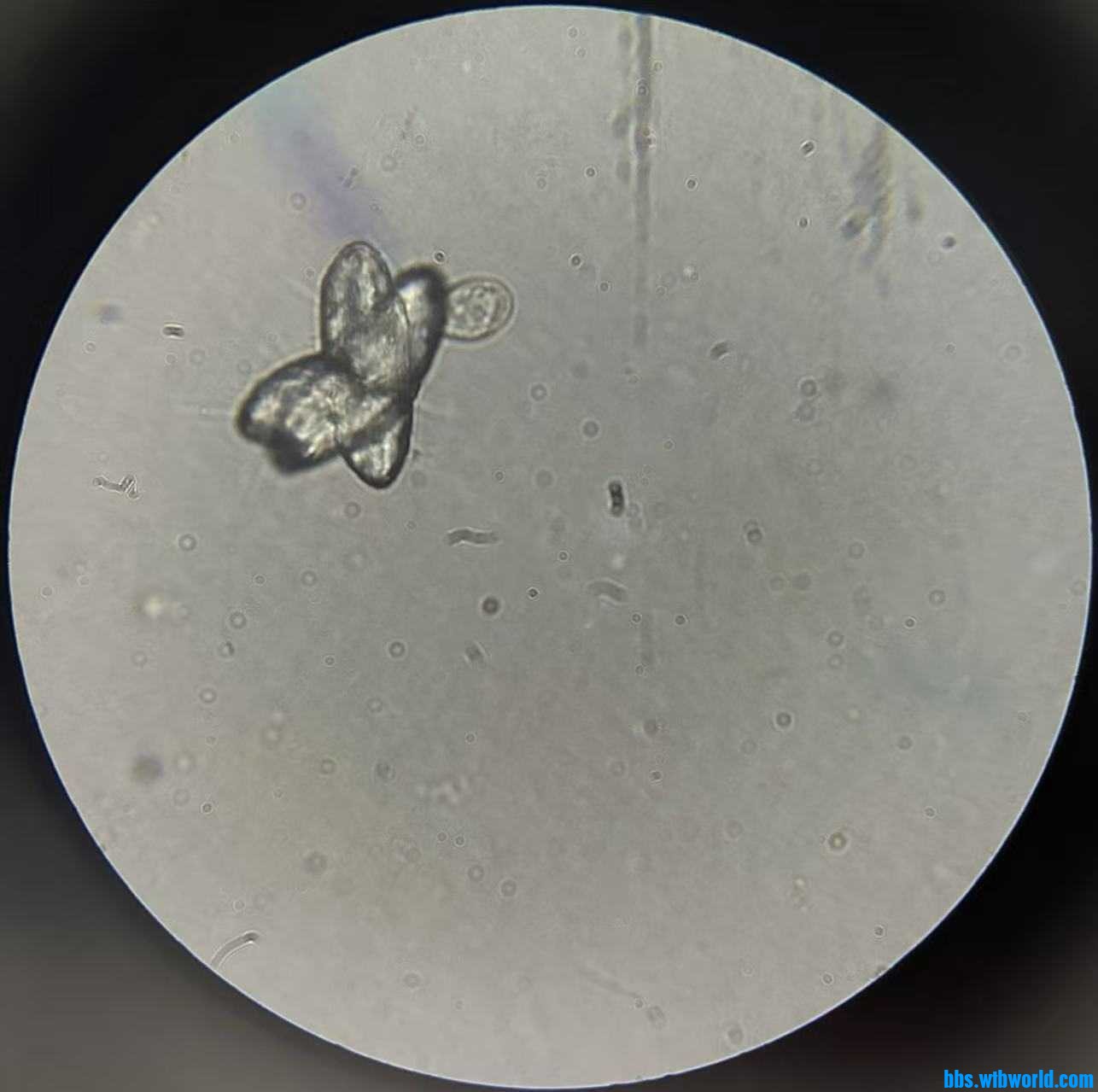
大佬们帮忙看看这是什么虫,之前从来没见过,
[复制链接]
273
|
3
|
2025-4-29 16:45:21
来自手机
|
显示全部楼层
|
阅读模式
回复
使用道具
举报
渡口
|
2025-4-29 16:52:35
|
显示全部楼层
是不是正在分裂的虫虫
回复
使用道具
举报
随一
|
2025-4-29 17:04:29
来自手机
|
显示全部楼层
渡口 发表于 2025-4-29 16:52
是不是正在分裂的虫虫
我也不确定,之前没怎么出现过,近期开始出现的比较多一点
回复
使用道具
举报
宋药师
|
2025-4-30 14:05:55
|
显示全部楼层
有几张看着跟蝴蝶一样
回复
使用道具
举报
返回列表
发新帖
高级模式
B
Color
Image
Link
Quote
Code
Smilies
您需要登录后才可以回帖
登录
|
欢迎使用微信登录,一键注册!
本版积分规则
发表回复
回帖并转播
回帖后跳转到最后一页
浏览过的版块
机械设备
电气仪表
随一
3
主题
8
回帖
101
积分
新手上路
新手上路, 积分 101, 距离下一级还需 49 积分
新手上路, 积分 101, 距离下一级还需 49 积分
积分
101
加好友
发消息
回复楼主
返回列表
工艺交流
微生物镜检
水质化验
调试日志
悬赏
图文推荐
硝化系统快速恢复的案例分享!
2022-09-11
生化系统浅见
2021-08-25
求助大神们板框压滤机压泥泥饼不成型
2021-09-16
好氧池溶解氧一直升高
2023-02-03
进水COD 800到1200,氨氮35,总氮45,总磷的话0.8
2025-09-24
热门排行
1
电絮凝设备设计求助
2
过年期间停运污水
3
看看这样的泡沫问题
4
求助,帮忙看一下污泥沉降比。
5
锤吸虫很久才出现一次
6
中间那一大坨是丝状菌吗?
7
溶气气浮机的电控原理
8
镜检,大神帮忙分析一下
9
全自动压滤机,自动卸泥,自动清洗
10
粪大肠菌群和粪大肠菌群菌值的关系?