高效沉淀池悬浮物多,怎么解决

[复制链接]
查看939 | 回复13 | 2025-4-8 11:52:58 | 显示全部楼层 |阅读模式
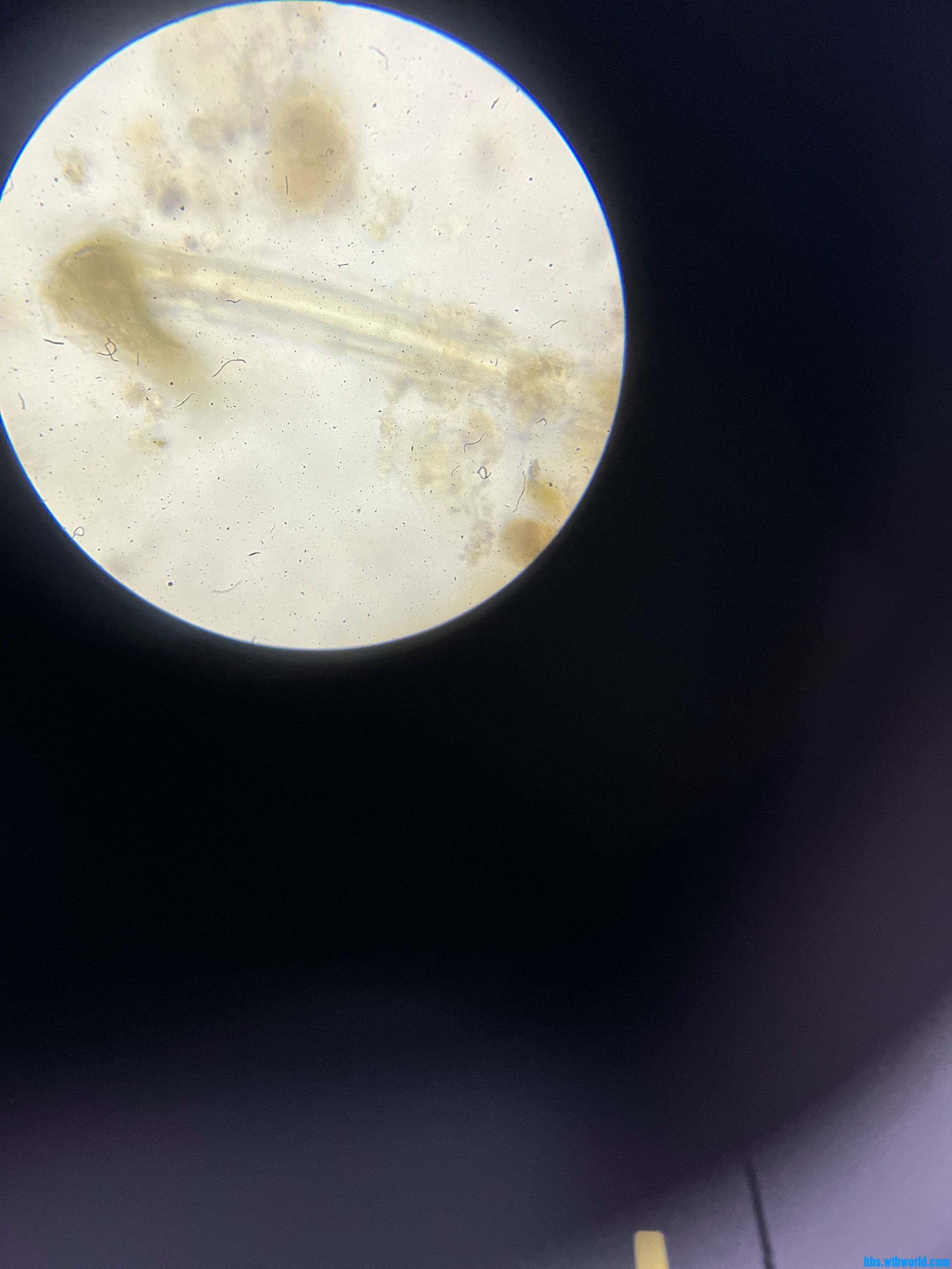
进水为生活污水。目前污泥浓度为3600mg/L左右,设计为1万方每天,每小时流量420m³,SV30为93,二沉池有点轻微跑泥,高效沉淀池悬浮物较多,这个有什么好的解决方法没有?
c9cd8b79cbd61d3552f9558015d9695.jpg
c24bb6395b8d4c7174e339054d69c16.jpg
07a2e3f30f60028e9a75a03942f0e2e.jpg
回复

使用道具 举报

放牛班班长 | 2025-4-8 12:04:28 来自手机 | 显示全部楼层
曝气咋样?污泥有点泛白 你们镜检照片有吗?污泥膨胀了。
回复

使用道具 举报

风603617 | 2025-4-8 13:50:23 来自手机 | 显示全部楼层
多加点pam
回复

使用道具 举报

天空的回想录 | 2025-4-8 14:36:30 | 显示全部楼层
放牛班班长 发表于 2025-4-8 12:04
曝气咋样?污泥有点泛白 你们镜检照片有吗?污泥膨胀了。

冬季时曝气有点大,现在减小了,镜检里面可以看到线虫,镜检照片,随后有了给您发一下
回复

使用道具 举报

莫19584991438 | 2025-4-8 14:51:29 来自手机 | 显示全部楼层
把溶解氧控制低一点,顺便比平常排泥时间长一点,污泥负荷上去了,很快就正常的
回复

使用道具 举报

碧海王 | 2025-4-8 20:12:27 来自手机 | 显示全部楼层
看着像污泥膨胀   
为人类奉献碧水蓝天,给未来留下更多资源!
回复

使用道具 举报

硕果累累 | 2025-4-9 08:49:57 来自手机 | 显示全部楼层
svi已经高了,曝气强度低点,污泥循序降降。
回复

使用道具 举报

天空的回想录 | 2025-4-9 09:11:55 | 显示全部楼层
放牛班班长 发表于 2025-4-8 12:04
曝气咋样?污泥有点泛白 你们镜检照片有吗?污泥膨胀了。

已经补充今天做的镜检照片,您看下
回复

使用道具 举报

天空的回想录 | 2025-4-9 09:13:48 | 显示全部楼层
硕果累累 发表于 2025-4-9 08:49
svi已经高了,曝气强度低点,污泥循序降降。

现在有点高,曝气强度已经降低了,这个污泥循环是是只外回流还是内回流,内回流流量现在是70%左右
回复

使用道具 举报

公司顶凉柱 | 2025-4-9 09:17:16 | 显示全部楼层
DO多少?SVI都258了,污泥膨胀了
回复

使用道具 举报

您需要登录后才可以回帖 登录 | 注册 微信登录

本版积分规则