老师们帮我诊断一下治病救人

[复制链接]
查看1451 | 回复16 | 2025-3-31 15:01:28 | 显示全部楼层 |阅读模式
生化池概况:sv30=98%,拉长沉淀时间3天如图sv=35%,上液挺清的的但是仔细看还是有碎泥,而上清液表面与空气接触的面有朦胧状一层灰一样,如图。
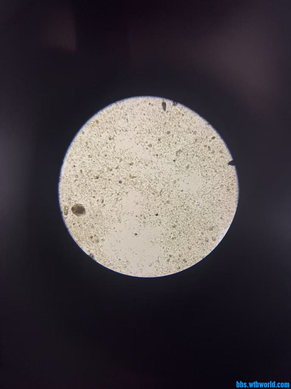
参数:ph8.3 ,DO O1=7左右O2=4左右,AOAO工艺。设计水量20000目前进水10000不到。工业污水厂。经过酸化池后进生化池的:氨氮进为5出水0.26。总氮进为11出水3.26.cod进140出42. 烘干后MLSS:8500,O池在线悬浮物浓度3200。池面有浮渣泡沫如图,其次污泥回流池污泥分层蛋清液一样。老师们我的生化池有什么问题吗?之前去除率很高,这几天去除率下降了。还有镜检照片如图。

sv30:98%

sv30:98%

上液朦胧

上液朦胧

三天沉淀

三天沉淀

O池

O池

O池

O池

污泥回流池

污泥回流池
71048b99c554c0c533024fa57f6f997.jpg
bd8377a44c2f0aa3f64d866c0e2985c.jpg
回复

使用道具 举报

huboss | 2025-3-31 15:06:53 | 显示全部楼层
虫子主要是鬃毛虫为优势种群
回复

使用道具 举报

放牛班班长 | 2025-3-31 15:59:47 | 显示全部楼层
你们为什么要保持这么高的污泥浓度?进水氨氮也不高。
回复

使用道具 举报

莫19584991438 | 2025-3-31 16:23:50 来自手机 | 显示全部楼层
加紧排泥时间,不是这样水温上来后续排泥压泥会一团糟。
回复

使用道具 举报

huboss | 2025-3-31 16:58:17 | 显示全部楼层
放牛班班长 发表于 2025-3-31 15:59
你们为什么要保持这么高的污泥浓度?进水氨氮也不高。

因为园区化工厂倒闭了很多,所以低负荷运行
回复

使用道具 举报

放牛班班长 | 2025-3-31 17:15:01 | 显示全部楼层
huboss 发表于 2025-3-31 16:58
因为园区化工厂倒闭了很多,所以低负荷运行

排泥吧,你们二沉池水面现在应该也是一层浮渣。污泥老化解体后 也反而会造成出水水质高。
回复

使用道具 举报

huboss | 2025-3-31 18:14:10 | 显示全部楼层
放牛班班长 发表于 2025-3-31 17:15
排泥吧,你们二沉池水面现在应该也是一层浮渣。污泥老化解体后 也反而会造成出水水质高。 ...

挺清的浮渣泡沫较少,就是水有点混,之前跑泥
回复

使用道具 举报

huboss | 2025-3-31 18:15:09 | 显示全部楼层
回复

使用道具 举报

碧海王 | 2025-3-31 18:59:25 来自手机 | 显示全部楼层
污泥浓度高了,现在已经污泥解体,时间长了溶解到水里出水会带色。
为人类奉献碧水蓝天,给未来留下更多资源!
回复

使用道具 举报

莫19584991438 | 2025-3-31 21:05:12 来自手机 | 显示全部楼层
huboss 发表于 2025-3-31 18:15
为什么温度上来就有问题,请兄明示

水温上来了,污泥就活跃,活性高,污泥相当于膨胀一样
回复

使用道具 举报

您需要登录后才可以回帖 登录 | 注册 微信登录

本版积分规则