大家看看我这污泥

[复制链接]
查看1006 | 回复11 | 2025-3-28 15:20:30 | 显示全部楼层 |阅读模式
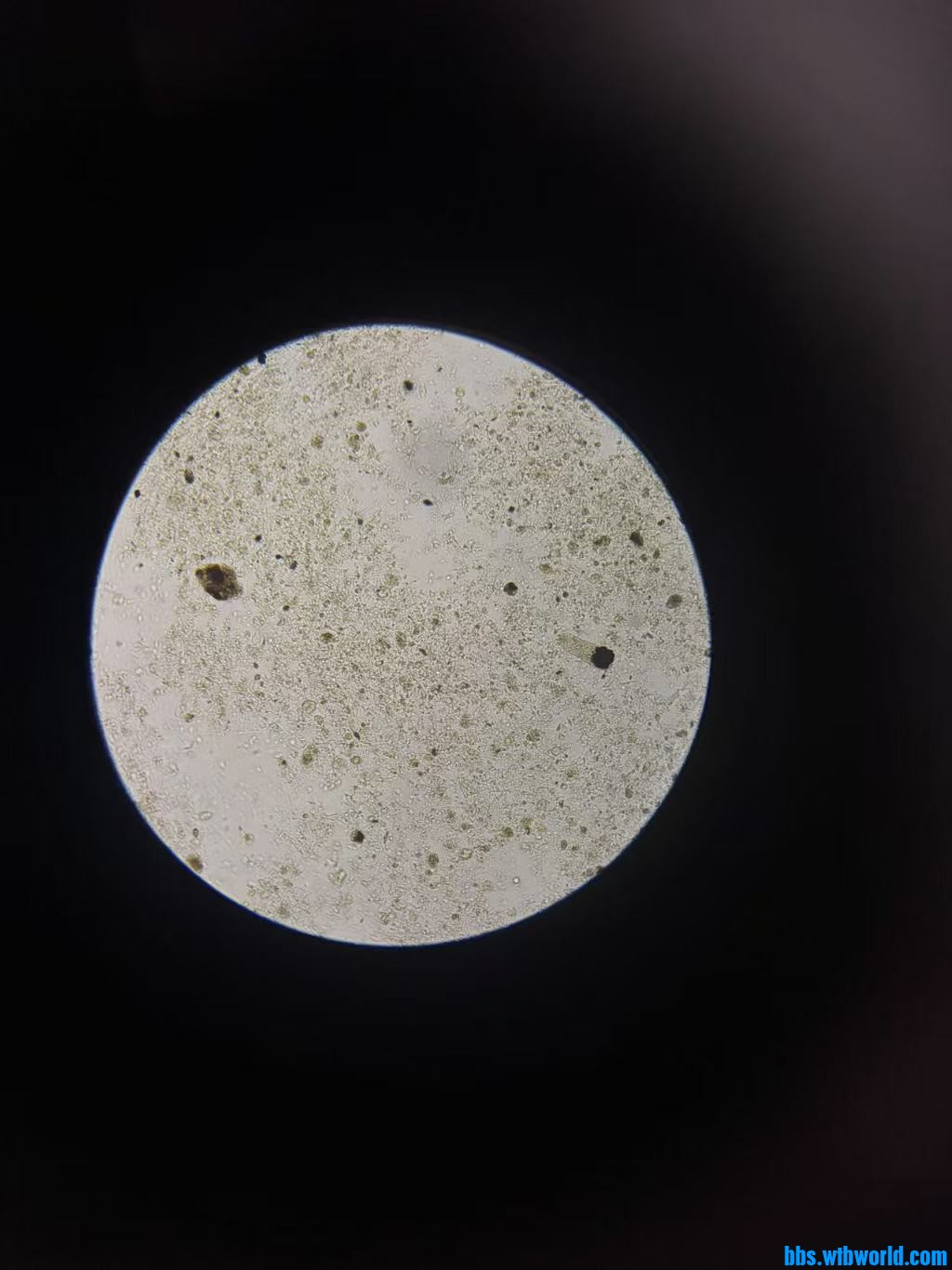
低负荷运行、MLSS9000、sv30:98% 上清液不浑浊但有朦胧油状物。溶解氧7.3、ph7.8.最近来看虫子少了很多。现主要是鬃毛虫、表壳虫等。最近出水氨氮有波动但很快又降下去了。推测可能是温度的影响。
df239f4f21f03888fb81ed5b7e77191.jpg
0fae2e76923bd08a07dc92a17fbb5dd.jpg
回复

使用道具 举报

莫19584991438 | 2025-3-28 15:25:10 来自手机 | 显示全部楼层
这个系统再不加紧排泥的,水温上来要一塌糊涂的
回复

使用道具 举报

Secretariat | 2025-3-28 16:30:58 来自手机 | 显示全部楼层
菌胶团结合不够紧密,不扎实
绿水青山就是金山银山
回复

使用道具 举报

碧海王 | 2025-3-28 17:42:51 来自手机 | 显示全部楼层
低负荷污泥浓度还这么高,曝气大。污泥都散了。
为人类奉献碧水蓝天,给未来留下更多资源!
回复

使用道具 举报

huboss | 2025-3-28 21:09:23 | 显示全部楼层
回复

使用道具 举报

莫19584991438 | 2025-3-29 05:22:09 来自手机 | 显示全部楼层
huboss 发表于 2025-3-28 21:09
为什么呢

气温上来了,污泥活性活跃,本来楼主系统就污泥老化,污泥浓度过高,很容易起丝状菌膨胀的,再不加紧时间排泥,气温上来二沉就会大量跑泥
回复

使用道具 举报

放牛班班长 | 2025-3-29 08:07:30 来自手机 | 显示全部楼层
你们是mbr还是有二沉池,二沉池运行效果怎么样?
回复

使用道具 举报

huboss | 2025-3-29 09:41:33 | 显示全部楼层
放牛班班长 发表于 2025-3-29 08:07
你们是mbr还是有二沉池,二沉池运行效果怎么样?

二沉池水混
回复

使用道具 举报

huboss | 2025-3-29 09:42:23 | 显示全部楼层
莫195****1438【警告:为防范风险,号码已自动隐藏,请通过微信(非手机号同号)沟通,友情提示:网络交易有风险,请查辩真假再联系!】
发表于 2025-3-29 05:22

气温上来了,污泥活性活跃,本来楼主系统就污泥老化,污泥浓度过高,很容易起丝状菌膨胀的,再不加紧时间 ...

好的宝贝,会加紧排泥
回复

使用道具 举报

渡口 | 2025-3-29 10:34:15 | 显示全部楼层

MLSS 9000啊   
回复

使用道具 举报

您需要登录后才可以回帖 登录 | 注册 微信登录

本版积分规则