请大神们看看我的镜检

[复制链接]
查看1043 | 回复16 | 2025-3-6 18:57:59 来自手机 | 显示全部楼层 |阅读模式
Screenshot_20250306_185346_com.huawei.himovie.local.jpg
IMG_20250306_161610.jpg

回复

使用道具 举报

Secretariat | 2025-3-6 20:08:42 来自手机 | 显示全部楼层
污泥很棒
绿水青山就是金山银山
回复

使用道具 举报

碧海王 | 2025-3-6 22:56:44 来自手机 | 显示全部楼层
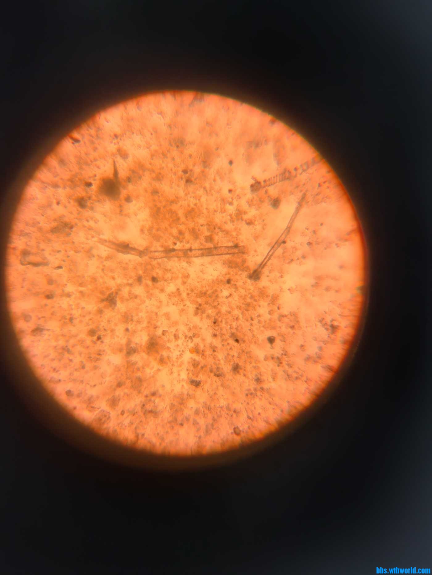
累枝虫    污泥浓度比较高   
为人类奉献碧水蓝天,给未来留下更多资源!
回复

使用道具 举报

渡口 | 2025-3-7 08:31:17 | 显示全部楼层
碧海王 发表于 2025-3-6 22:56
累枝虫    污泥浓度比较高

大王  这个你看着很紧实   第二张图他个弹簧是藻类  另外俩根是杂质  对吗
回复

使用道具 举报

放牛班班长 | 2025-3-7 08:58:49 | 显示全部楼层
污泥量挺大的。
回复

使用道具 举报

阳阳麻麻99849 | 2025-3-7 10:26:28 来自手机 | 显示全部楼层
碧海王 发表于 2025-3-6 22:56
累枝虫    污泥浓度比较高

沉降比77%,污泥浓度3851,污泥体积指数199.948
回复

使用道具 举报

阳阳麻麻99849 | 2025-3-7 10:29:14 来自手机 | 显示全部楼层
Secretariat 发表于 2025-3-6 20:08
污泥很棒

看起来泥很松散
回复

使用道具 举报

姚洪关 | 2025-3-7 12:02:08 来自手机 | 显示全部楼层
第一个图是累枝虫。
回复

使用道具 举报

太善良 | 2025-3-7 14:25:46 | 显示全部楼层
累枝虫挺多的,污泥还不错
出言有尺,嬉闹有度,做事有余,说话有度
回复

使用道具 举报

Secretariat | 2025-3-7 15:31:01 来自手机 | 显示全部楼层
阳阳麻麻99849 发表于 2025-3-7 10:29
看起来泥很松散

松散的泥社区里有,差很多的
绿水青山就是金山银山
回复

使用道具 举报

您需要登录后才可以回帖 登录 | 注册 微信登录

本版积分规则