状态还可以

[复制链接]
查看1323 | 回复27 | 2025-2-22 15:01:19 来自手机 | 显示全部楼层 |阅读模式
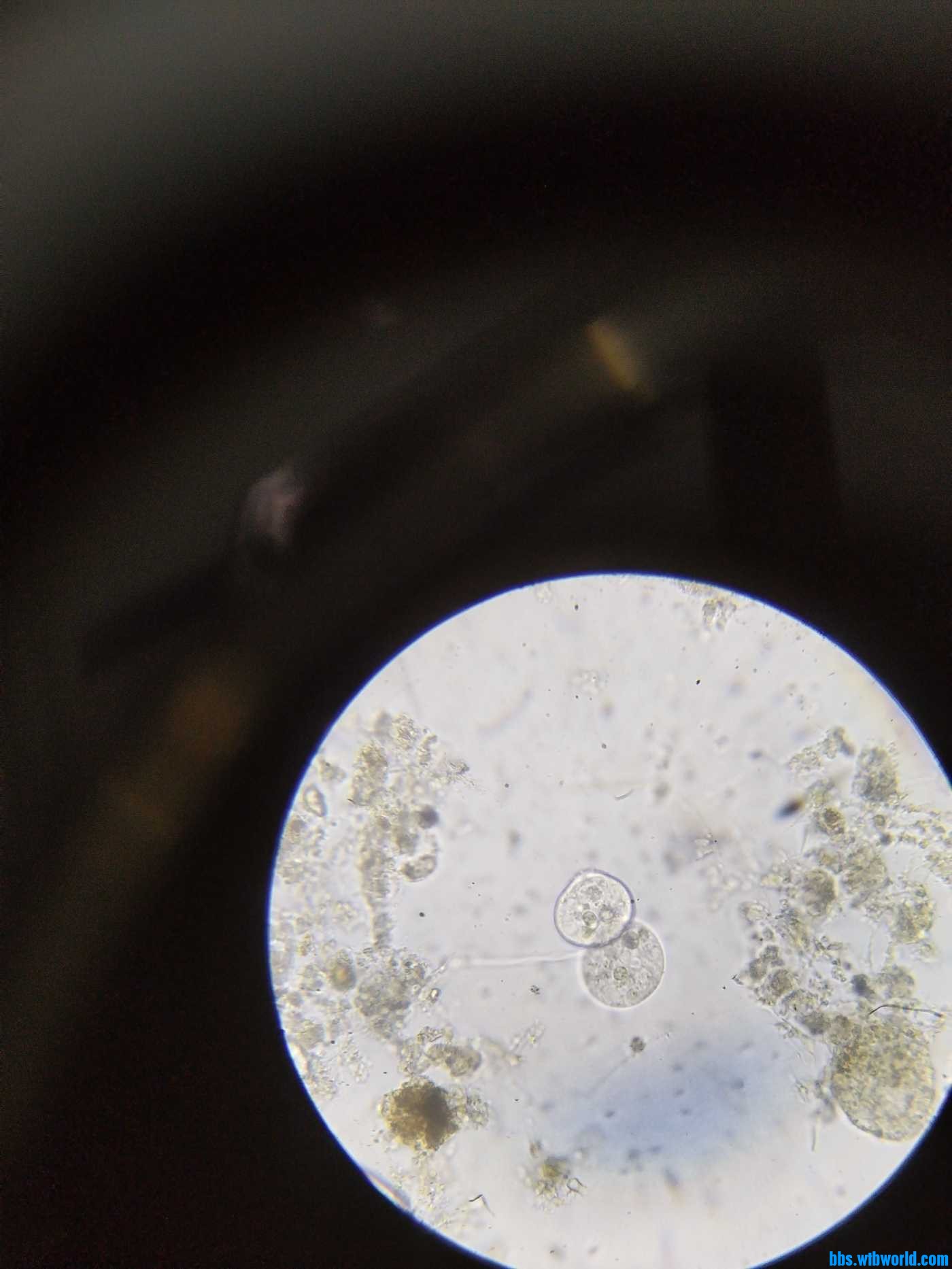
好久没做镜检了,这次一做微生物大部分都是钟虫和板壳虫。 IMG_20250214_144905.jpg
IMG_20250214_144951.jpg
IMG_20250214_145330.jpg
为人类奉献碧水蓝天,给未来留下更多资源!
回复

使用道具 举报

碧海王 | 2025-2-22 15:07:27 来自手机 | 显示全部楼层
为人类奉献碧水蓝天,给未来留下更多资源!
回复

使用道具 举报

宋药师 | 2025-2-22 15:53:23 | 显示全部楼层
这出水水质应该是很不错的
回复

使用道具 举报

寻梦少年 | 2025-2-22 19:29:32 | 显示全部楼层
钟虫就是大佬级别的微生物,有它准差不了
回复

使用道具 举报

碧海王 | 2025-2-22 19:52:52 来自手机 | 显示全部楼层
宋药师 发表于 2025-2-22 15:53
这出水水质应该是很不错的

相当不错    😄
为人类奉献碧水蓝天,给未来留下更多资源!
回复

使用道具 举报

碧海王 | 2025-2-22 19:54:06 来自手机 | 显示全部楼层
寻梦少年 发表于 2025-2-22 19:29
钟虫就是大佬级别的微生物,有它准差不了

好长时间没做过了镜检了    这一做    还真挺好来
为人类奉献碧水蓝天,给未来留下更多资源!
回复

使用道具 举报

寻梦少年 | 2025-2-22 20:02:27 来自手机 | 显示全部楼层
碧海王 发表于 2025-2-22 19:54
好长时间没做过了镜检了    这一做    还真挺好来

长时间没做镜检就说明系统长时间没问题😂
回复

使用道具 举报

碧海王 | 2025-2-22 21:31:34 来自手机 | 显示全部楼层
寻梦少年 发表于 2025-2-22 20:02
长时间没做镜检就说明系统长时间没问题😂

主要这块业务不是我的职责范围    闲着没事有时间了才做一个
为人类奉献碧水蓝天,给未来留下更多资源!
回复

使用道具 举报

渡口 | 2025-2-23 08:46:28 | 显示全部楼层
大王  二个一起的是分裂的小口钟虫吗  圆圆的大肚子   
回复

使用道具 举报

渡口 | 2025-2-23 08:50:45 | 显示全部楼层
第二张图  左下那个大口钟虫跟右上明显看着不一样   
回复

使用道具 举报

您需要登录后才可以回帖 登录 | 注册 微信登录

本版积分规则