设为首页
收藏本站
开启辅助访问
切换到窄版
扫一扫访问当前网址
登录
注册
微信扫一扫,快速登录
社区
BBS
获取积分
积分商城
信息中心
搜索
搜索
本版
帖子
用户
WTB环保社区
»
社区
›
技术专区
›
微生物镜检
›
请问这两个是什么虫呀
1
2
/ 2 页
下一页
返回列表
发新帖
请问这两个是什么虫呀
[复制链接]
839
|
11
|
2025-2-14 16:37:23
|
显示全部楼层
|
阅读模式
回复
使用道具
举报
Secretariat
|
2025-2-14 17:15:41
来自手机
|
显示全部楼层
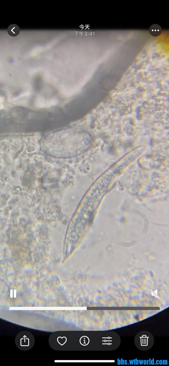
视频一是轮虫
绿水青山就是金山银山
回复
使用道具
举报
Secretariat
|
2025-2-14 17:17:20
来自手机
|
显示全部楼层
视频二像管叶虫
绿水青山就是金山银山
回复
使用道具
举报
放牛班班长
|
2025-2-14 19:44:47
|
显示全部楼层
视频二倒像是裂口虫
回复
使用道具
举报
碧海王
|
2025-2-14 21:39:12
来自手机
|
显示全部楼层
第一个轮虫 第二个是中间性活性污泥类原生动物,具体哪个不好区分
为人类奉献碧水蓝天,给未来留下更多资源!
回复
使用道具
举报
碧海王
|
2025-2-14 21:40:06
来自手机
|
显示全部楼层
镜头不好找可以买个拍照夹,夹在目镜上会好些
为人类奉献碧水蓝天,给未来留下更多资源!
回复
使用道具
举报
渡口
|
2025-2-15 10:39:12
|
显示全部楼层
胖的是轮虫
回复
使用道具
举报
花猫0.0
|
2025-2-17 09:08:29
|
显示全部楼层
好滴 谢谢各位帮忙识别解答
回复
使用道具
举报
寻梦少年
|
2025-2-17 16:57:28
|
显示全部楼层
把第二个镜头拉近一点,这样看不清楚
回复
使用道具
举报
天凉不知秋
|
2025-2-18 16:15:53
来自手机
|
显示全部楼层
第一个是轮虫 第二个是中间型的 扭曲管叶虫 这两东西出现不是什么好兆头
回复
使用道具
举报
下一页 »
1
2
/ 2 页
下一页
返回列表
发新帖
高级模式
B
Color
Image
Link
Quote
Code
Smilies
您需要登录后才可以回帖
登录
|
注册
本版积分规则
发表回复
回帖并转播
回帖后跳转到最后一页
浏览过的版块
悬赏
文档资料
标准规范
技术支持
技术支持团队成员
花猫0.0
4
主题
21
回帖
98
积分
新手上路
新手上路, 积分 98, 距离下一级还需 52 积分
新手上路, 积分 98, 距离下一级还需 52 积分
积分
98
加好友
发消息
回复楼主
返回列表
工艺交流
微生物镜检
膜技术交流
水质化验
调试日志
悬赏
图文推荐
硝化系统快速恢复的案例分享!
2022-09-11
生化系统浅见
2021-08-25
求助大神们板框压滤机压泥泥饼不成型
2021-09-16
好氧池溶解氧一直升高
2023-02-03
进水COD 800到1200,氨氮35,总氮45,总磷的话0.8
2025-09-24
热门排行
1
高氮负荷状态下也能出现钟虫
2
各位老师看一下这些都是什么
3
环评中的工艺变更有做过的没?
4
这曝气量怎么样,给力不
5
【调研】污水处理一线工程师,大家最缺什么
6
罗茨风机整机生锈 完整处理方案
7
寻找做水处理工艺的专家
8
sv30污泥上浮
9
进水ph正常,好氧池ph持续偏低(5-6)是怎
10
一体化设备出水发黄