镜检全是水熊虫

[复制链接]
查看1430 | 回复17 | 2024-4-18 11:05:17 | 显示全部楼层 |阅读模式
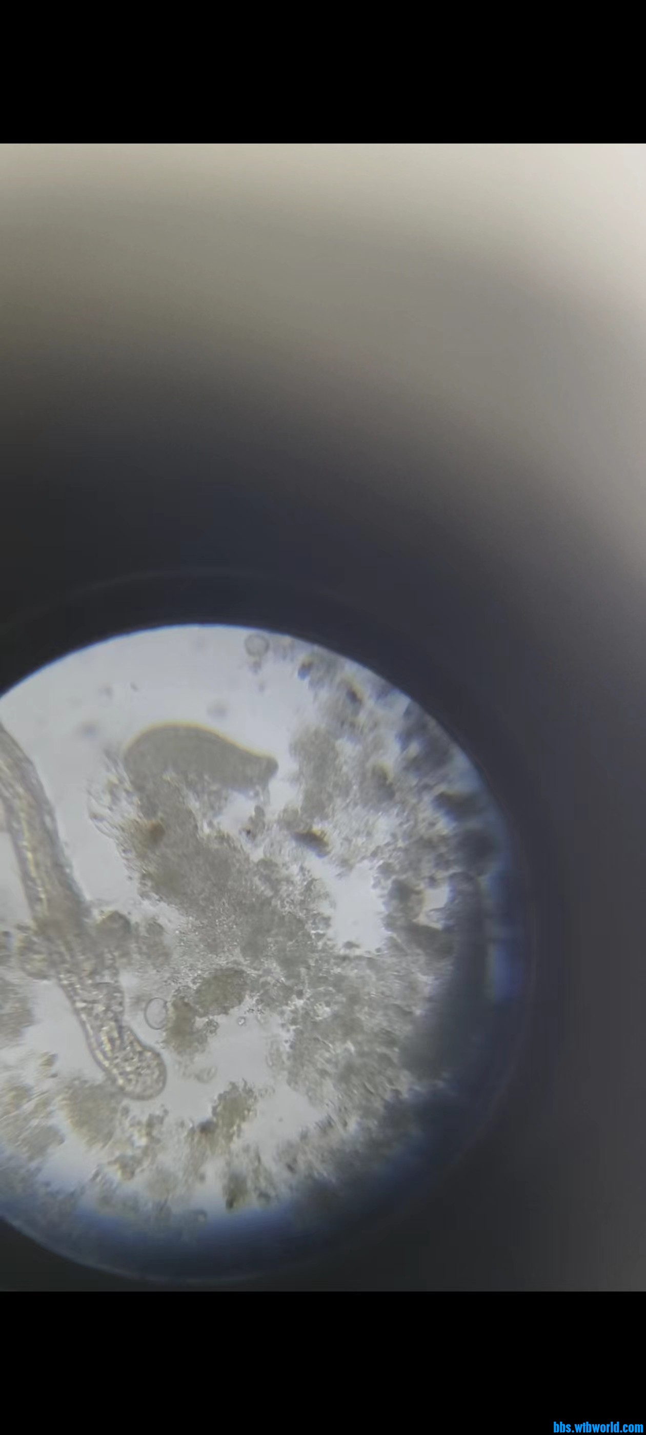
好氧池COD300闷曝了2天都没降,排水指标是50以下。镜检有很多水熊虫,其他虫体很少见,请问这种情况如何应对。 水熊虫怎么消灭啊?
微信图片_20240418110410.jpg
微信图片_20240418110405.jpg
回复

使用道具 举报

Secretariat | 2024-4-18 11:09:15 来自手机 | 显示全部楼层
镜检图上不是水熊,是顠体虫
绿水青山就是金山银山
回复

使用道具 举报

Secretariat | 2024-4-18 11:11:12 来自手机 | 显示全部楼层
污泥感觉还行,上清液也很清澈,是不是有机负荷太高了,焖曝需要加营养的,有没有投加
绿水青山就是金山银山
回复

使用道具 举报

碧海王 | 2024-4-18 11:32:09 来自手机 | 显示全部楼层
沉降比尽量不要在阳光直射、有振动的地方做
为人类奉献碧水蓝天,给未来留下更多资源!
回复

使用道具 举报

污师之路 | 2024-4-18 12:32:19 | 显示全部楼层
Secretariat 发表于 2024-4-18 11:09
镜检图上不是水熊,是顠体虫

右边有两只水熊抽虫
回复

使用道具 举报

污师之路 | 2024-4-18 12:33:39 | 显示全部楼层
Secretariat 发表于 2024-4-18 11:11
污泥感觉还行,上清液也很清澈,是不是有机负荷太高了,焖曝需要加营养的,有没有投加 ...

没有加营养,出水COD马上超标了,闷曝是想让COD降下去这种情况还要加营养吗?
回复

使用道具 举报

嘻嘻47801 | 2024-4-18 22:21:00 来自手机 | 显示全部楼层
俩水熊,一个瓢体虫
回复

使用道具 举报

Secretariat | 2024-4-18 22:22:27 来自手机 | 显示全部楼层
污师之路 发表于 2024-4-18 12:33
没有加营养,出水COD马上超标了,闷曝是想让COD降下去这种情况还要加营养吗? ...

那有可能水里的COD属于难降解的嘛,不加营养,光曝气这个时候也不养泥
绿水青山就是金山银山
回复

使用道具 举报

谭水色变 | 2024-4-21 15:50:37 来自手机 | 显示全部楼层
按照我这里的运维模式,COD高,必须增加营养,基本上两天时间差不多降下来了,如果紧急的的话加碳粉,内回流开大
回复

使用道具 举报

糊涂小番茄 | 2024-4-21 21:11:02 来自手机 | 显示全部楼层
要加啥营养呢
回复

使用道具 举报

您需要登录后才可以回帖 登录 | 注册 微信登录

本版积分规则