多加了些碳源,从没有钟虫到满视野

[复制链接]
查看1828 | 回复12 | 2023-11-11 20:12:57 来自手机 | 显示全部楼层 |阅读模式
为人类奉献碧水蓝天,给未来留下更多资源!
回复

使用道具 举报

碧海王 | 2023-11-11 20:14:51 来自手机 | 显示全部楼层
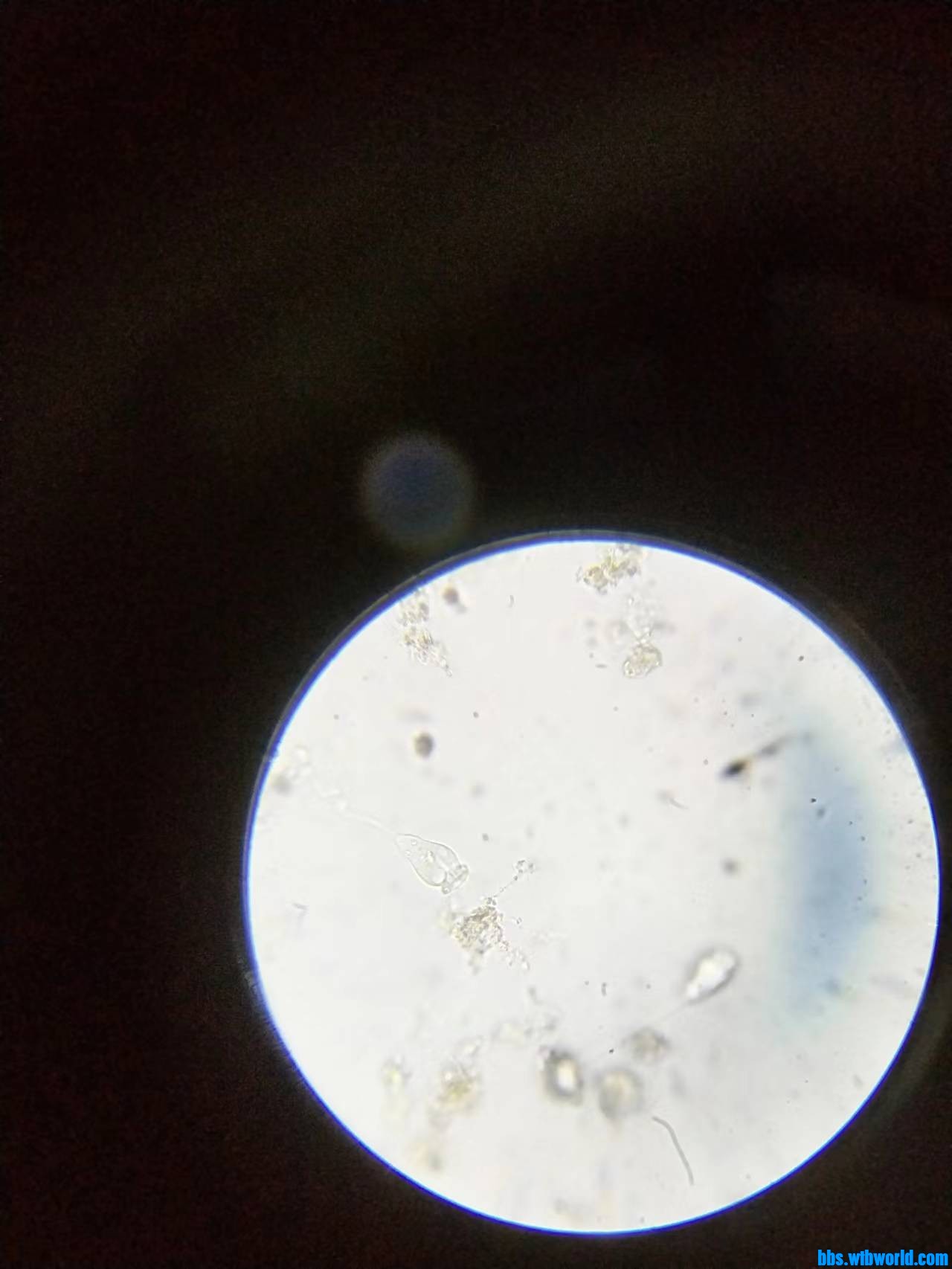
钟虫         
wechat_upload1699704868654f7024e5f5d
wechat_upload1699704869654f70254bf11
wechat_upload1699704869654f70259edd3
为人类奉献碧水蓝天,给未来留下更多资源!
回复

使用道具 举报

Secretariat | 2023-11-12 10:50:45 来自手机 | 显示全部楼层
这个形状,让我联想到宝岛台湾
绿水青山就是金山银山
回复

使用道具 举报

寻梦少年 | 2023-11-12 11:41:40 | 显示全部楼层
碳源是个好东西呀,你碳源投加的是什么?
回复

使用道具 举报

碧海王 | 2023-11-12 13:11:16 来自手机 | 显示全部楼层
Secretariat 发表于 2023-11-12 10:50
这个形状,让我联想到宝岛台湾

👍👍👍
为人类奉献碧水蓝天,给未来留下更多资源!
回复

使用道具 举报

碧海王 | 2023-11-12 13:11:40 来自手机 | 显示全部楼层
寻梦少年 发表于 2023-11-12 11:41
碳源是个好东西呀,你碳源投加的是什么?

复合碳源         
为人类奉献碧水蓝天,给未来留下更多资源!
回复

使用道具 举报

寻梦少年 | 2023-11-12 14:19:04 | 显示全部楼层

喔喔   复合碳源是不知道具体成分的哈
回复

使用道具 举报

碧海王 | 2023-11-12 22:11:01 来自手机 | 显示全部楼层
寻梦少年 发表于 2023-11-12 14:19
喔喔   复合碳源是不知道具体成分的哈

不清楚    当量挺高  
为人类奉献碧水蓝天,给未来留下更多资源!
回复

使用道具 举报

寻梦少年 | 2023-11-13 15:11:33 | 显示全部楼层
碧海王 发表于 2023-11-12 22:11
不清楚    当量挺高

嗯嗯   好的   感谢   复合碳源当量都挺高的
回复

使用道具 举报

渡口 | 2023-11-13 15:30:18 | 显示全部楼层
里面还有那么大一个轮虫   
回复

使用道具 举报

您需要登录后才可以回帖 登录 | 注册 微信登录

本版积分规则