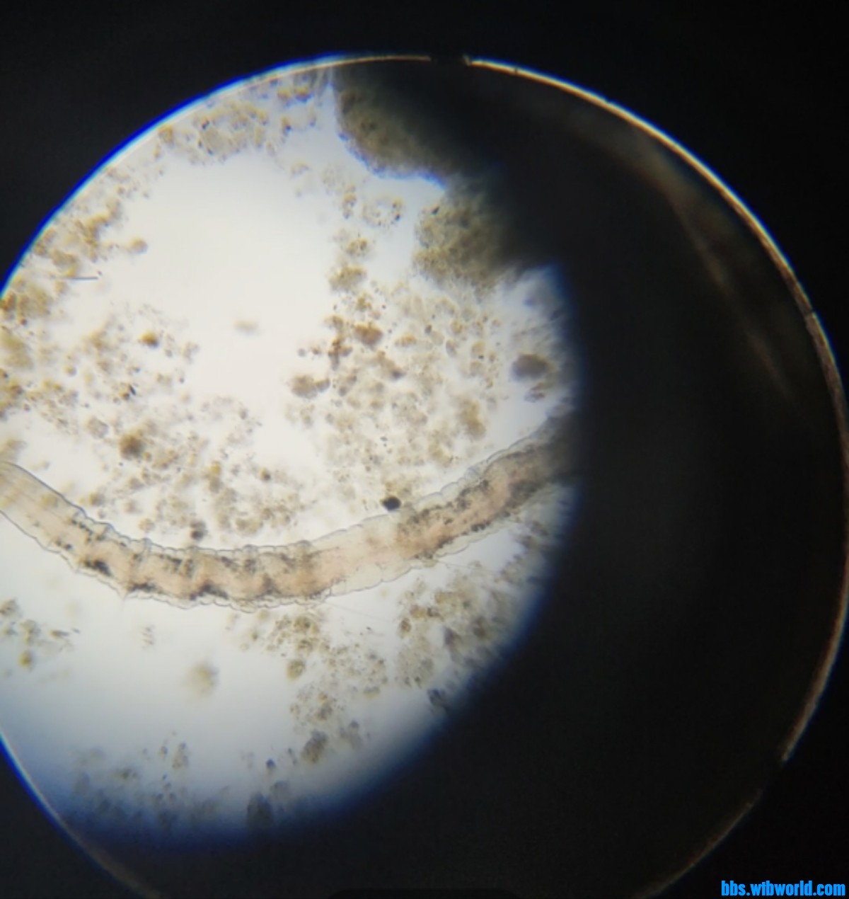
镜检有知道的这是什么虫子

[复制链接]
查看760 | 回复4 | 2023-11-11 16:57:57 来自手机 | 显示全部楼层 |阅读模式
污泥堆积会出现仙女虫,身上有毛刺,或者死水也会出现仙女虫
wechat_upload1699692964654f41a42a020

mmexport1699692467671.mp4

6.36 MB

回复

使用道具 举报

无关东西 | 2023-11-11 17:03:01 来自手机 | 显示全部楼层
对的,仙女虫
回复

使用道具 举报

寻梦少年 | 2023-11-11 17:09:50 | 显示全部楼层
好大好长的一个仙女虫,纤纤长身,少女们的最爱
回复

使用道具 举报

无限透明的蓝 | 2023-11-11 17:18:15 | 显示全部楼层
看惯轮虫钟虫这些小虫,看仙女虫有种巨物恐惧症哈哈哈
回复

使用道具 举报

渡口 | 2023-11-11 22:40:32 来自手机 | 显示全部楼层
我害怕蚯蚓 蛇 黄鳝这些  所以见到这类细长类的身上起鸡皮疙瘩
回复

使用道具 举报

您需要登录后才可以回帖 登录 | 注册 微信登录

本版积分规则