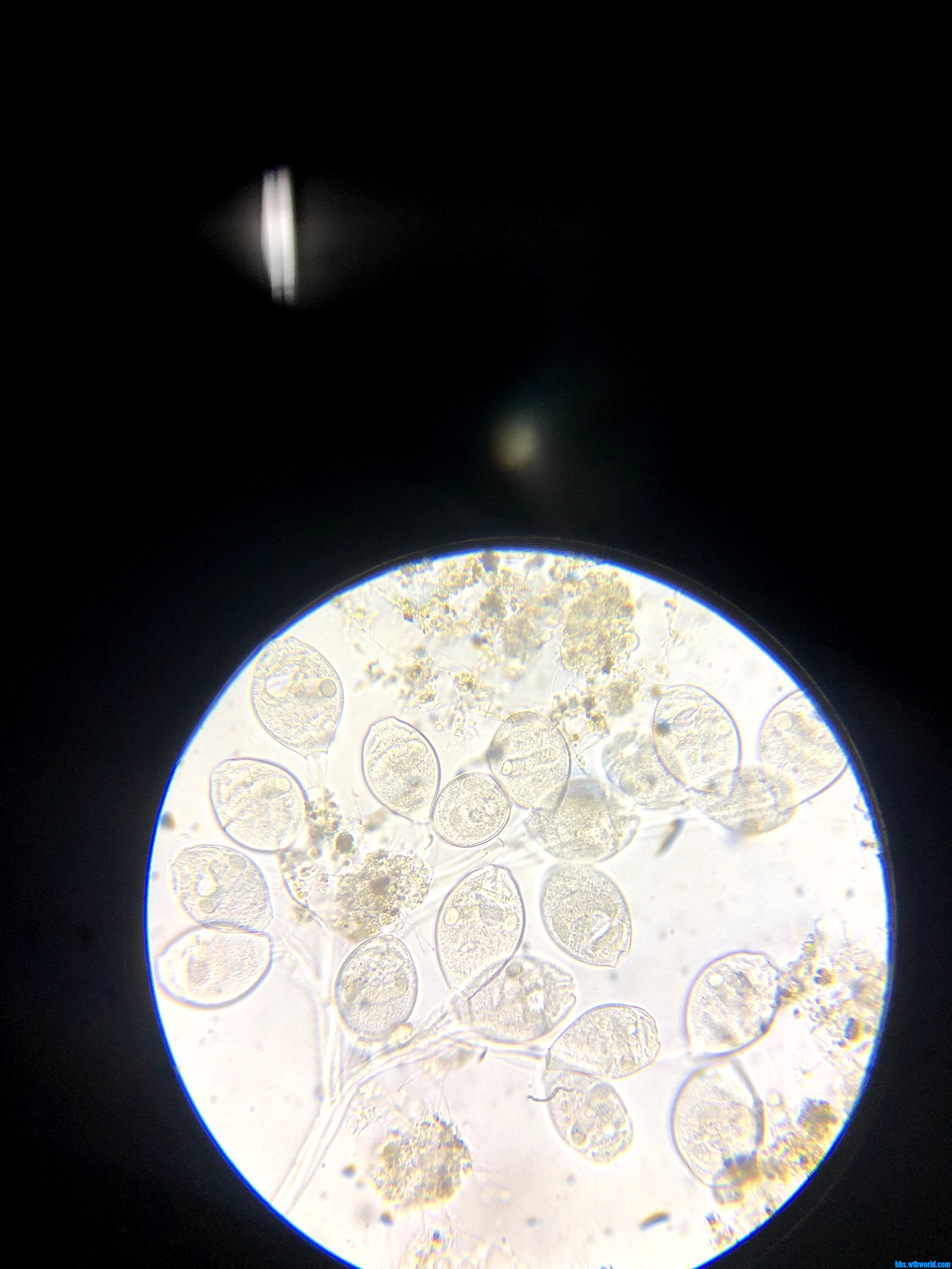
大佬们,这个咋定义嘞?这属于累枝虫???????

[复制链接]
查看1159 | 回复11 | 2023-3-25 10:18:08 来自手机 | 显示全部楼层 |阅读模式
这属于累枝虫???????
wechat_upload1679710598641e5986a7b4a
回复

使用道具 举报

碧海王 | 2023-3-25 10:25:00 来自手机 | 显示全部楼层
看尾柄内有没有肌丝   如果没有就是累枝虫   有就可能是聚缩或独缩
为人类奉献碧水蓝天,给未来留下更多资源!
回复

使用道具 举报

131415920 | 2023-3-25 11:14:44 | 显示全部楼层
累枝?独缩?
回复

使用道具 举报

Secretariat | 2023-3-25 12:18:32 来自手机 | 显示全部楼层
看有没有肌丝,尾柄的形状
绿水青山就是金山银山
回复

使用道具 举报

嘻嘻47801 | 2023-3-25 14:43:38 来自手机 | 显示全部楼层
咋觉着像盖纤虫
回复

使用道具 举报

渡口 | 2023-3-26 09:43:41 | 显示全部楼层
碧海王 发表于 2023-3-25 10:25
看尾柄内有没有肌丝   如果没有就是累枝虫   有就可能是聚缩或独缩

你好  能否把对比图发一个  谢谢
回复

使用道具 举报

碧海王 | 2023-3-26 13:26:02 来自手机 | 显示全部楼层
渡口 发表于 2023-3-26 09:43
你好  能否把对比图发一个  谢谢

我拍的不太清晰,对付看吧
wechat_upload1679807828641fd5540714e
wechat_upload1679807910641fd5a6d01ad
wechat_upload1679808009641fd6091ad9f
wechat_upload1679808327641fd7474ecfc
为人类奉献碧水蓝天,给未来留下更多资源!
回复

使用道具 举报

涤生(昊) | 2023-3-26 16:17:05 | 显示全部楼层
你这拍出了藻类的赶脚
未经审视的人生,不值得一过!
回复

使用道具 举报

芳753940 | 2023-3-30 15:58:28 | 显示全部楼层
碧海王 发表于 2023-3-26 13:26
我拍的不太清晰,对付看吧

图4无肌丝,属于累枝虫。
回复

使用道具 举报

碧海王 | 2023-3-30 17:50:56 来自手机 | 显示全部楼层
芳753940 发表于 2023-3-30 15:58
图4无肌丝,属于累枝虫。

是的, 我系统累枝比较少,照片里面就找到这一张
为人类奉献碧水蓝天,给未来留下更多资源!
回复

使用道具 举报

您需要登录后才可以回帖 登录 | 注册 微信登录

本版积分规则