污水整个系统浮泥严重,是什么原因?

[复制链接]
众客康惠-王洪波 | 2022-9-26 19:16:31 来自手机 | 显示全部楼层
污呜巫 发表于 2022-9-26 08:04
以前我们厂每到秋冬天就要开始慢慢上浮,最后也浮成所有池子上面厚厚一层 ...

你们怎么解决的?
回复

使用道具 举报

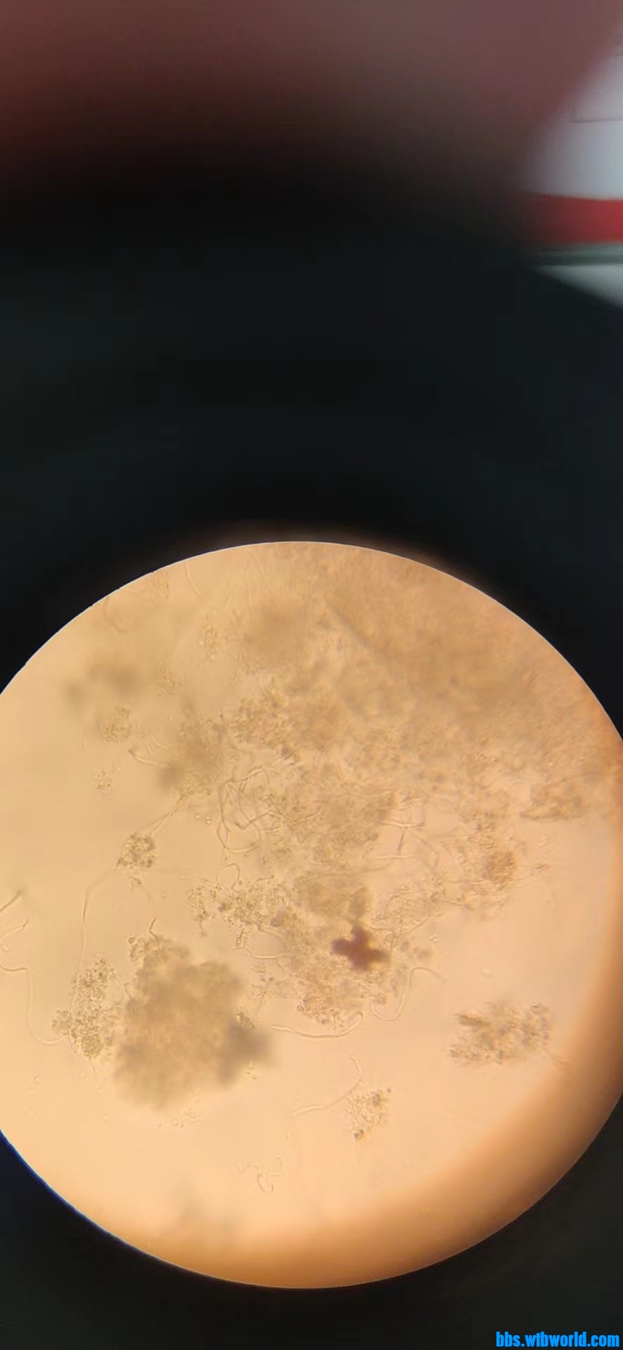
众客康惠-王洪波 | 2022-9-26 19:22:05 来自手机 | 显示全部楼层
放牛班班长 发表于 2022-9-26 09:26
镜检的照片有没有

mmexport1664191072426.jpg wechat_upload166419123463318b02de6f3 wechat_upload166419123563318b0398eac
wechat_upload166419123563318b03540ad
回复

使用道具 举报

简单一点 | 2022-9-26 23:39:26 来自手机 | 显示全部楼层
负荷增大
回复

使用道具 举报

放牛班班长 | 2022-9-27 08:01:52 | 显示全部楼层

看上去丝状菌不少,目前ph多少呢
回复

使用道具 举报

污呜巫 | 2022-9-28 09:13:44 来自手机 | 显示全部楼层
众客康惠-王洪波 发表于 2022-9-26 19:16
你们怎么解决的?

我们主要是因为低负荷造成的,曝气大了,浓度高了,就会慢慢浮,冬天最严重,夏天情况最好。现在就是多排泥,控制浓度,控制do,现在基本解决了
回复

使用道具 举报

您需要登录后才可以回帖 登录 | 注册 微信登录

本版积分规则