如何去除生化池表面死泥

[复制链接]
查看2949 | 回复24 | 2022-9-22 16:50:44 来自手机 | 显示全部楼层 |阅读模式

污水为生活污水,设计能力两万方/天,实际日处理1.8万方/天,主体工艺为氧化沟,日产80%含水率污泥10吨。
主要问题是生化池表面存在大量死泥,且经过打捞后不到一周就重新出现大量死泥,要求解决死泥问题。

观感相当不好,好氧池其他区域也存在大量老化泡沫

以下是进出水数据。

由于聚铁加在生化池出水口,故二沉池总磷为0.35/L左右,实际生化池出水总磷在1.5mg/L左右。
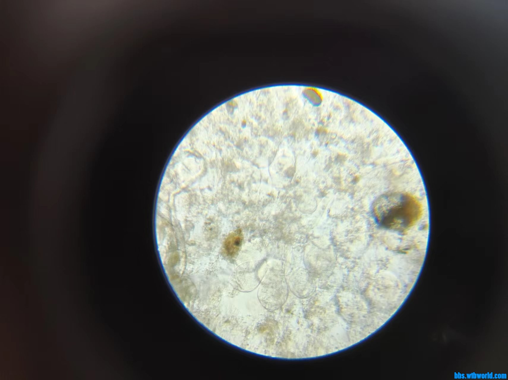
SV30实拍及镜检结果,SV30显示上清液清澈无碎泥。
镜检显示,菌胶团较为松散,指示性微生物有累枝虫、数量较多的盾纤虫,表明生化未受冲击负荷。
  

综上所述结合现场实际情况,判断结果如下:
污泥过于松散,且盾纤虫数量较多,由于镜检未见丝状菌,考虑是非丝状菌引起的污泥膨胀,从MLSS和SV30来看结合该水厂有过在生化池投加PAC的经历,进而判断污泥的有效成分比并不高。
我将采取的措施:
1.        适当降低曝气量,检查死泥区域的曝气效果是否存在曝气不均匀的情况。
2.        增大污泥回流量,补充碳源,同时加大脱泥,置换新泥。
由于是主管部门要求去帮别的单位的水厂,暂时只能提供这些参数,后续有关DO、PH、回流量等数据,我会在补上。
南县一污生化池死泥调试方案
一、项目背景
污水为生活污水,设计能力两万方/天,实际日处理1.8万方/天,主体工艺为氧化沟,日产80%含水率污泥10吨。
主要问题是生化池表面存在大量死泥,且经过打捞后不到一周就重新出现大量死泥,要求解决死泥问题。

观感相当不好,好氧池其他区域也存在大量老化泡沫

以下是进出水数据。

由于聚铁加在生化池出水口,故二沉池总磷为0.35/L左右,实际生化池出水总磷在1.5mg/L左右。
SV30实拍及镜检结果,SV30显示上清液清澈无碎泥。
镜检显示,菌胶团较为松散,指示性微生物有累枝虫、数量较多的盾纤虫,表明生化未受冲击负荷。
  

综上所述结合现场实际情况,判断结果如下:
污泥过于松散,且盾纤虫数量较多,由于镜检未见丝状菌,考虑是非丝状菌引起的污泥膨胀,从MLSS和SV30来看结合该水厂有过在生化池投加PAC的经历,进而判断污泥的有效成分比并不高。
我将采取的措施:
1.        适当降低曝气量,检查死泥区域的曝气效果是否存在曝气不均匀的情况。
2.        增大污泥回流量,补充碳源,同时加大脱泥,置换新泥。
由于是主管部门要求去帮别的单位的水厂,暂时只能提供这些参数,后续有关DO、PH、回流量等数据,我会在补上。
wechat_upload1663836634632c21da0b2fc
wechat_upload1663836634632c21da7d762
wechat_upload1663836635632c21db02561
wechat_upload1663836635632c21db5e972
wechat_upload1663836635632c21dba7822
wechat_upload1663836636632c21dc13996

评分

参与人数 2威望 +4 收起 理由
卑微的调试员 + 1 很给力!
SARAOE + 3

查看全部评分

回复

使用道具 举报

土豆也是逗 | 2022-9-22 22:09:44 来自手机 | 显示全部楼层
看着进水有油,飘泥用水冲冲,加大排泥半个月左右差不多就行了!
回复

使用道具 举报

港强 | 2022-9-22 22:35:49 来自手机 | 显示全部楼层
土豆也是逗 发表于 2022-9-22 22:09
看着进水有油,飘泥用水冲冲,加大排泥半个月左右差不多就行了!

进水没有油,大哥你的意思是排泥不够吗?
回复

使用道具 举报

碧海王 | 2022-9-22 23:10:17 来自手机 | 显示全部楼层
生活污水非丝状菌膨胀可能性可以说没有
为人类奉献碧水蓝天,给未来留下更多资源!
回复

使用道具 举报

碧海王 | 2022-9-22 23:14:55 来自手机 | 显示全部楼层
根据你的沉降比来看丝状菌膨胀面大
为人类奉献碧水蓝天,给未来留下更多资源!
回复

使用道具 举报

港强 | 2022-9-22 23:35:46 来自手机 | 显示全部楼层
碧海王 发表于 2022-9-22 23:14
根据你的沉降比来看丝状菌膨胀面大

但是镜检没看到啊
回复

使用道具 举报

港强 | 2022-9-22 23:36:26 来自手机 | 显示全部楼层
镜检图片
wechat_upload1663860981632c80f55cbbb
wechat_upload1663860981632c80f5b272a
回复

使用道具 举报

那片雪 | 2022-9-23 07:18:51 来自手机 | 显示全部楼层
楼主和我们一样,我们sv30   25    mlss5000,不膨胀,缺氧区也一层泥,天天拿水枪冲!也是没法。
回复

使用道具 举报

港强 | 2022-9-23 08:28:54 来自手机 | 显示全部楼层
那片雪 发表于 2022-9-23 07:18
楼主和我们一样,我们sv30   25    mlss5000,不膨胀,缺氧区也一层泥,天天拿水枪冲!也是没法。 ...

是的就是缺氧池一圈死泥,昨天打开了厌氧区,我感觉是厌氧区飘过来的
回复

使用道具 举报

港强 | 2022-9-23 08:31:07 来自手机 | 显示全部楼层
昨天测试了do发现都没有严格意义上的厌氧、缺氧好氧之分了,缺氧do有3.7  好氧4.5  有个信息就是走一遍的内回流泵坏了,这边总氮比另外一边要高2mg/L说明反硝化还是在进行的,
回复

使用道具 举报

您需要登录后才可以回帖 登录 | 注册 微信登录

本版积分规则