屠宰废水,污泥沉降性一直不好,各位大神给分析下原因?

[复制链接]
查看1918 | 回复10 | 2022-9-17 18:01:27 来自手机 | 显示全部楼层 |阅读模式
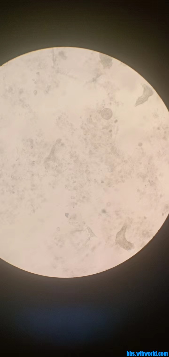
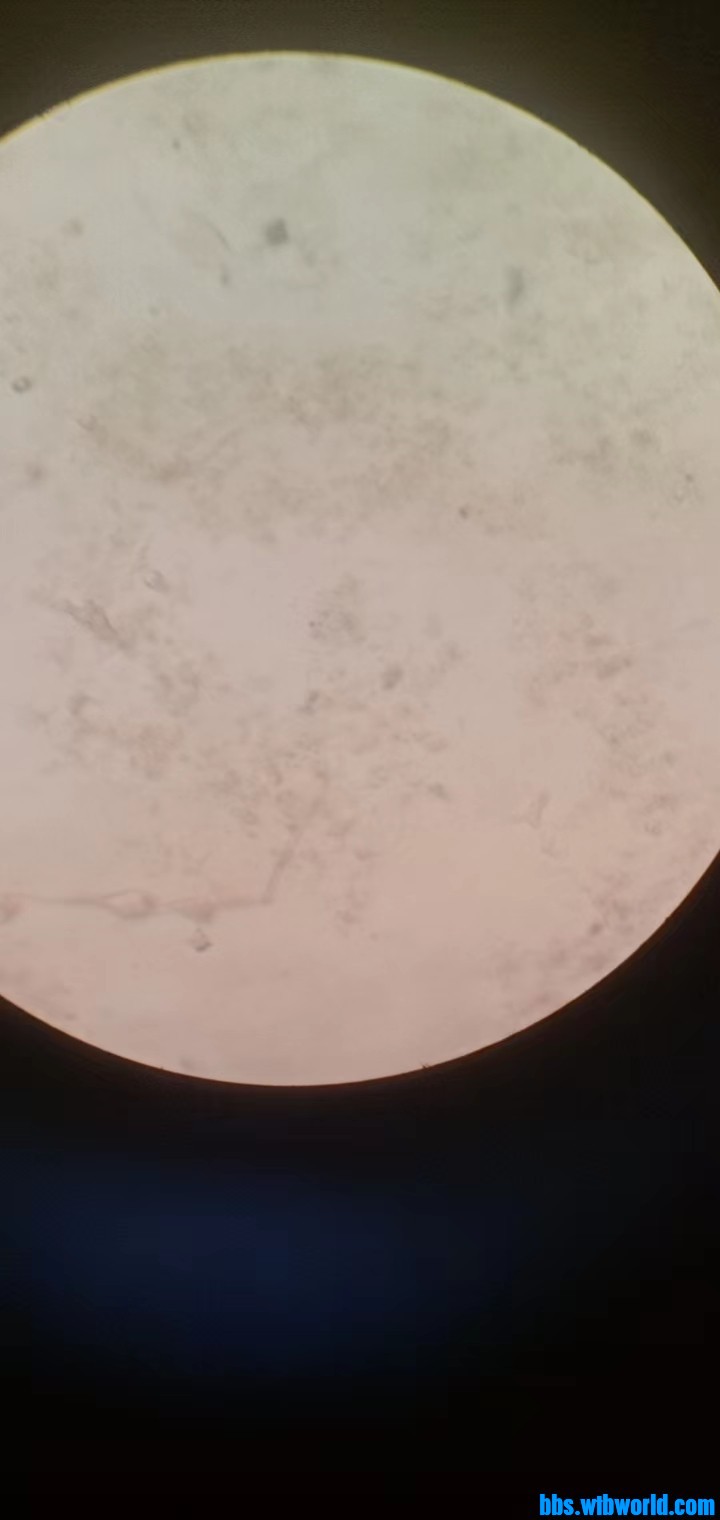
屠宰废水,污泥沉降性一直不好,30分钟95%。前3张图是10天前做镜检的图片,后4张图是今天做镜检的图片,污泥变的有点散了,进水等其它条件都没变化,麻烦各位大神给分析下原因,谢谢。
wechat_upload166340883563259ac39b8f8
wechat_upload166340883563259ac3e600e
wechat_upload166340883663259ac44a7fb
wechat_upload166340886463259ae088996
wechat_upload166340886463259ae0d812a
wechat_upload166340886563259ae1308fc
wechat_upload166340886563259ae18a9fa
回复

使用道具 举报

碧海王 | 2022-9-17 21:58:55 来自手机 | 显示全部楼层
排泥正常不      
为人类奉献碧水蓝天,给未来留下更多资源!
回复

使用道具 举报

土豆也是逗 | 2022-9-17 22:40:13 来自手机 | 显示全部楼层
可以上个沉降比图片看看
回复

使用道具 举报

yyq0404 | 2022-9-17 23:30:03 来自手机 | 显示全部楼层
碧海王 发表于 2022-9-17 21:58
排泥正常不

排泥正常
回复

使用道具 举报

芳753940 | 2022-9-18 07:22:38 来自手机 | 显示全部楼层
DO如何?
回复

使用道具 举报

yyq0404 | 2022-9-19 08:19:57 来自手机 | 显示全部楼层
芳753940 发表于 2022-9-18 07:22
DO如何?

溶解氧3个左右
回复

使用道具 举报

芳753940 | 2022-9-19 08:30:20 | 显示全部楼层

排泥正常,进水无异常,DO正常,菌胶团突然变细碎,坐等大佬解惑吧
回复

使用道具 举报

于仁舟 | 2022-9-19 08:39:28 来自手机 | 显示全部楼层
什么工艺,有机负荷是多少?
回复

使用道具 举报

欢明 | 2022-9-19 23:28:19 来自手机 | 显示全部楼层
污泥浓度有变化么?
回复

使用道具 举报

k.s. | 2022-9-20 20:48:49 来自手机 | 显示全部楼层
好像cod高了,导致粘性上来了
回复

使用道具 举报

您需要登录后才可以回帖 登录 | 注册 微信登录

本版积分规则