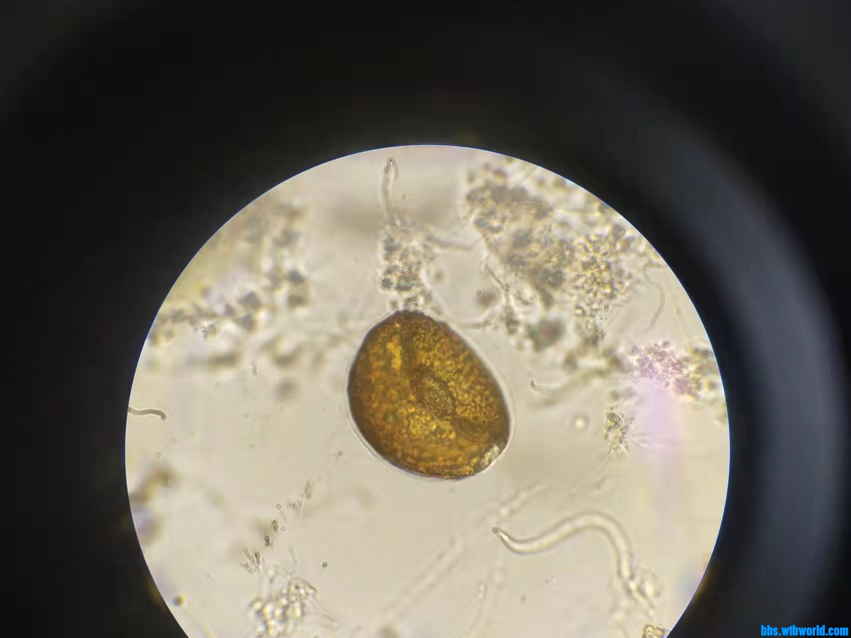
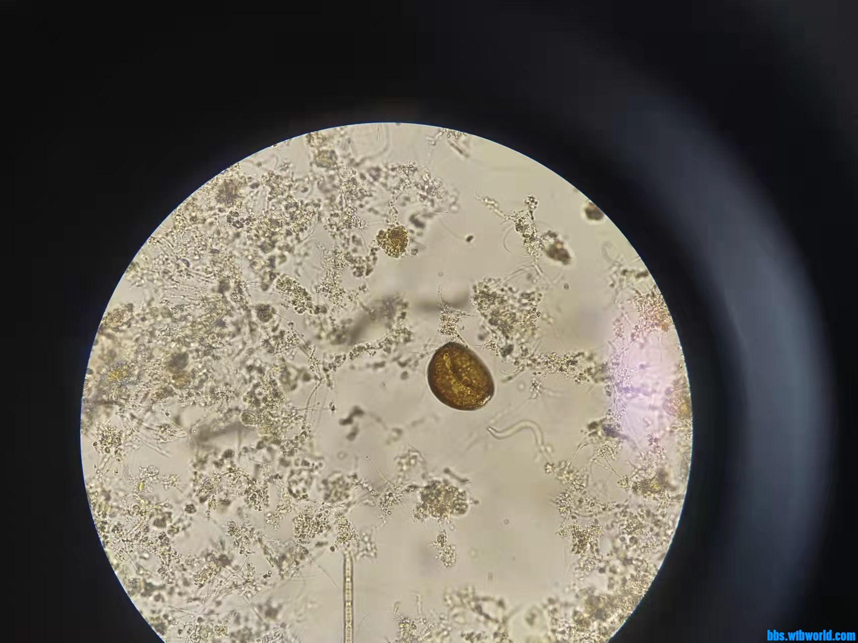
表壳虫400倍,1000倍(二)

[复制链接]
查看1338 | 回复11 | 2022-4-8 11:47:15 来自手机 | 显示全部楼层 |阅读模式
O(∩_∩)O
wechat_upload1649389599624fb01f39faf
wechat_upload1649389599624fb01f87045
回复

使用道具 举报

多多 | 2022-4-8 11:48:16 来自手机 | 显示全部楼层
生物相诊断一书中的描述
IMG_20220408_114739.jpg
回复

使用道具 举报

袁知行 | 2022-4-8 12:02:05 来自手机 | 显示全部楼层
学习了,谢谢楼主的分享!
回复

使用道具 举报

Secretariat | 2022-4-8 12:48:06 来自手机 | 显示全部楼层
总感觉是死了的
绿水青山就是金山银山
回复

使用道具 举报

非常完美 | 2022-4-8 13:47:29 | 显示全部楼层
这个拍的很清楚
爱学习的菜鸟
回复

使用道具 举报

非常完美 | 2022-4-8 13:54:10 | 显示全部楼层
最后一张多多把油镜用上了吗
爱学习的菜鸟
回复

使用道具 举报

多多 | 2022-4-8 14:12:34 来自手机 | 显示全部楼层
非常完美 发表于 2022-4-8 13:54
最后一张多多把油镜用上了吗

没有用松柏油,正常拍摄
回复

使用道具 举报

阿土 | 2022-4-8 15:28:23 来自手机 | 显示全部楼层
颜色深,老化时间长了,请参考第一个回复的指示
回复

使用道具 举报

太善良 | 2022-4-8 21:54:12 来自手机 | 显示全部楼层
这个表壳虫立体感挺强的
出言有尺,嬉闹有度,做事有余,说话有度
回复

使用道具 举报

嘻嘻47801 | 2022-4-8 22:17:18 来自手机 | 显示全部楼层
油镜不加松柏油也可以用吗?我的不加啥也看不到
回复

使用道具 举报

您需要登录后才可以回帖 登录 | 注册 微信登录

本版积分规则