设为首页
收藏本站
开启辅助访问
切换到窄版
扫一扫访问当前网址
登录
欢迎使用微信登录,一键注册!
微信扫一扫,快速登录
社区
BBS
每日答题
积分充值
积分商城
信息中心
搜索
搜索
节
春
乐
快
本版
帖子
用户
污托邦社区
»
社区
›
技术专区
›
微生物镜检
›
请教各位大佬,这是什么虫?
返回列表
发新帖
请教各位大佬,这是什么虫?
[复制链接]
666
|
5
|
2022-4-5 23:10:35
来自手机
|
显示全部楼层
|
阅读模式
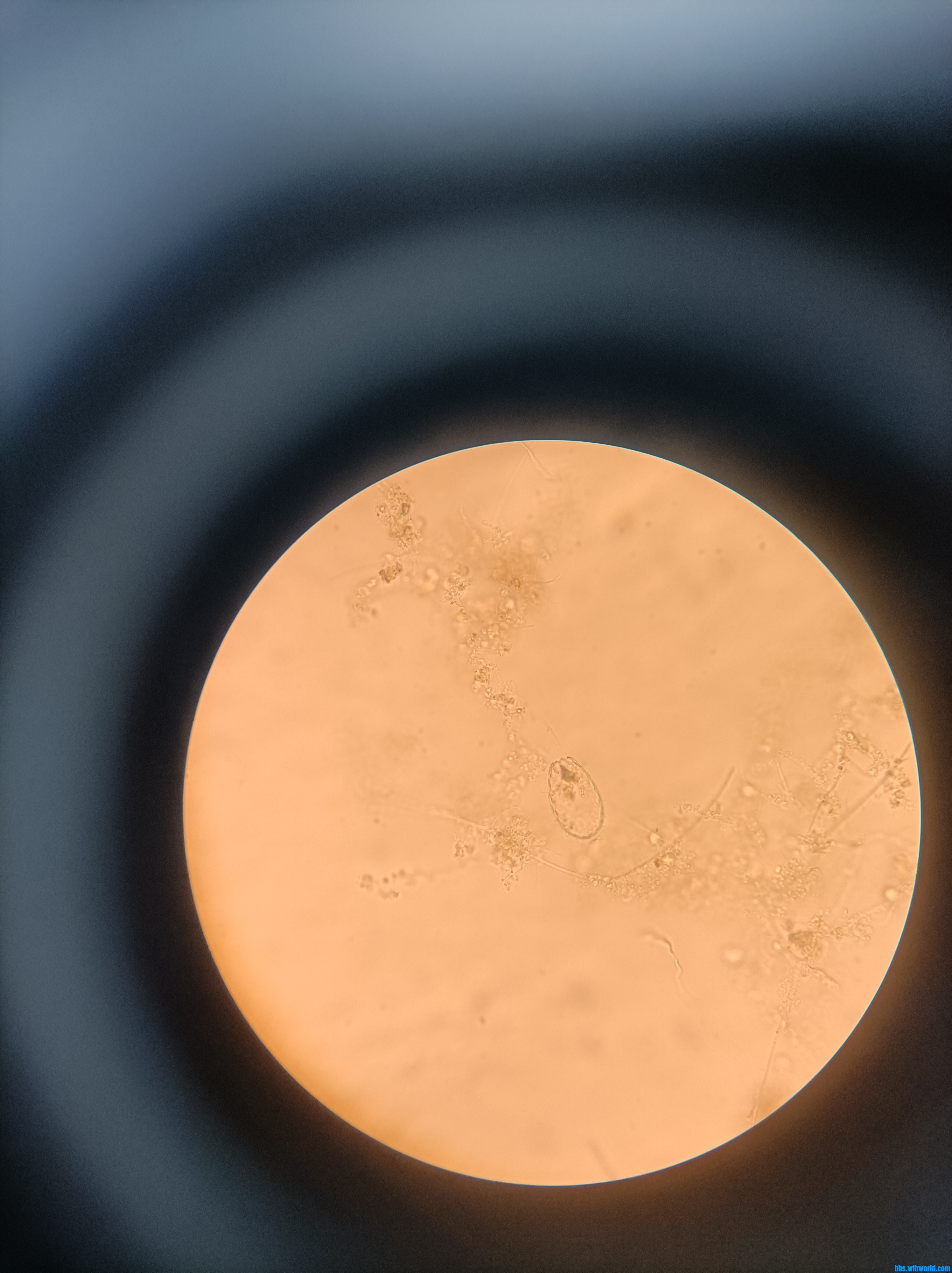
图一是钟虫吗?
回复
使用道具
举报
碧海王
|
2022-4-6 05:22:32
来自手机
|
显示全部楼层
尾柄有肌丝就是钟虫,没有就是累枝 另一个是磷壳虫
为人类奉献碧水蓝天,给未来留下更多资源!
回复
使用道具
举报
Secretariat
|
2022-4-6 08:15:44
来自手机
|
显示全部楼层
像钟虫,钟虫有肌丝,会抽动
绿水青山就是金山银山
回复
使用道具
举报
太善良
|
2022-4-6 08:38:28
来自手机
|
显示全部楼层
第1个可能是钟虫,第2个是鳞壳虫
出言有尺,嬉闹有度,做事有余,说话有度
回复
使用道具
举报
非常完美
|
2022-4-6 09:06:32
|
显示全部楼层
是钟虫
爱学习的菜鸟
回复
使用道具
举报
非常完美
|
2022-4-6 09:07:41
|
显示全部楼层
第一个如果有肌丝就是钟虫,第二个是鳞壳虫
爱学习的菜鸟
回复
使用道具
举报
返回列表
发新帖
高级模式
B
Color
Image
Link
Quote
Code
Smilies
您需要登录后才可以回帖
登录
|
欢迎使用微信登录,一键注册!
本版积分规则
发表回复
回帖并转播
回帖后跳转到最后一页
浏览过的版块
工艺交流
木里
8
主题
6
回帖
66
积分
新手上路
新手上路, 积分 66, 距离下一级还需 84 积分
新手上路, 积分 66, 距离下一级还需 84 积分
积分
66
加好友
发消息
回复楼主
返回列表
工艺交流
微生物镜检
水质化验
调试日志
悬赏
图文推荐
硝化系统快速恢复的案例分享!
2022-09-11
生化系统浅见
2021-08-25
求助大神们板框压滤机压泥泥饼不成型
2021-09-16
好氧池溶解氧一直升高
2023-02-03
进水COD 800到1200,氨氮35,总氮45,总磷的话0.8
2025-09-24
热门排行
1
过年期间停运污水
2
高氮废水(二甲胺,三甲胺),电导和氨氮有
3
电絮凝设备设计求助
4
易忽视的化学试剂与药品安全管理
5
中间那一大坨是丝状菌吗?
6
看看这样的泡沫问题
7
求助,帮忙看一下污泥沉降比。
8
锤吸虫很久才出现一次
9
溶气气浮机的电控原理
10
镜检,大神帮忙分析一下