设为首页
收藏本站
开启辅助访问
切换到窄版
扫一扫访问当前网址
登录
欢迎使用微信登录,一键注册!
微信扫一扫,快速登录
社区
BBS
每日答题
积分充值
积分商城
信息中心
搜索
搜索
节
春
乐
快
本版
帖子
用户
污托邦社区
»
社区
›
技术专区
›
微生物镜检
›
菌种活化了三四天的镜检,正不正常?
返回列表
发新帖
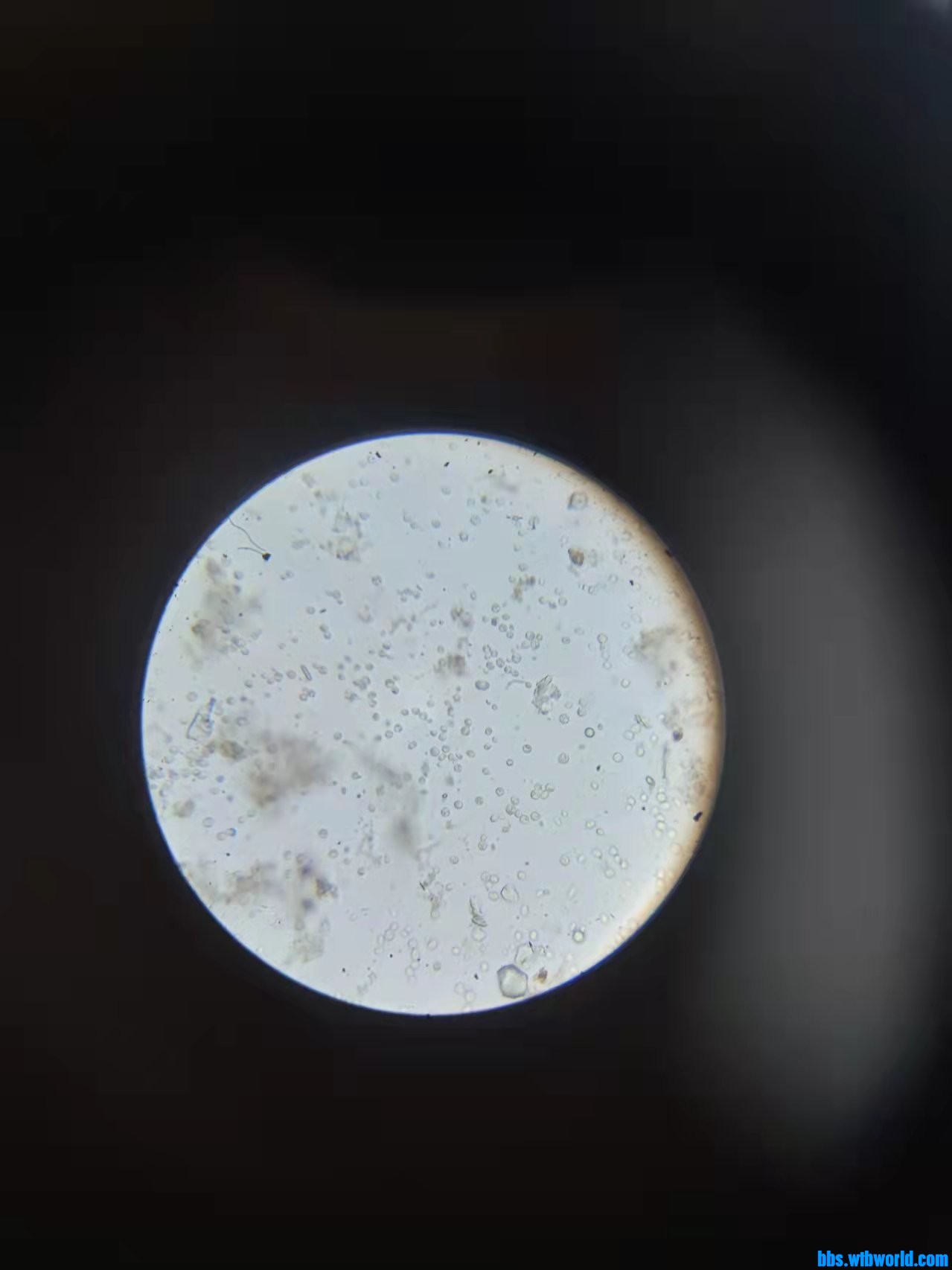
菌种活化了三四天的镜检,正不正常?
[复制链接]
527
|
3
|
2022-4-4 14:18:21
来自手机
|
显示全部楼层
|
阅读模式
菌种活化了三四天的镜检,正不正常?
回复
使用道具
举报
Secretariat
|
2022-4-4 19:38:06
来自手机
|
显示全部楼层
营养有没有加够,四天时间这个密度不够
绿水青山就是金山银山
回复
使用道具
举报
非常完美
|
2022-4-5 12:25:21
来自手机
|
显示全部楼层
这是做的小试吗,多投加葡萄糖长的快
爱学习的菜鸟
回复
使用道具
举报
耄耄
|
2022-4-5 14:18:13
来自手机
|
显示全部楼层
污泥好散呀
回复
使用道具
举报
返回列表
发新帖
高级模式
B
Color
Image
Link
Quote
Code
Smilies
您需要登录后才可以回帖
登录
|
欢迎使用微信登录,一键注册!
本版积分规则
发表回复
回帖并转播
回帖后跳转到最后一页
浏览过的版块
工艺交流
音闕思听
18
主题
4
回帖
192
积分
助理工程师
助理工程师, 积分 192, 距离下一级还需 808 积分
助理工程师, 积分 192, 距离下一级还需 808 积分
积分
192
加好友
发消息
回复楼主
返回列表
工艺交流
微生物镜检
水质化验
调试日志
悬赏
图文推荐
硝化系统快速恢复的案例分享!
2022-09-11
生化系统浅见
2021-08-25
求助大神们板框压滤机压泥泥饼不成型
2021-09-16
好氧池溶解氧一直升高
2023-02-03
进水COD 800到1200,氨氮35,总氮45,总磷的话0.8
2025-09-24
热门排行
1
过年期间停运污水
2
高氮废水(二甲胺,三甲胺),电导和氨氮有
3
电絮凝设备设计求助
4
易忽视的化学试剂与药品安全管理
5
中间那一大坨是丝状菌吗?
6
看看这样的泡沫问题
7
求助,帮忙看一下污泥沉降比。
8
锤吸虫很久才出现一次
9
溶气气浮机的电控原理
10
镜检,大神帮忙分析一下