镜检到底怎么看呀

[复制链接]
查看1687 | 回复13 | 2020-6-29 11:52:09 来自手机 | 显示全部楼层 |阅读模式
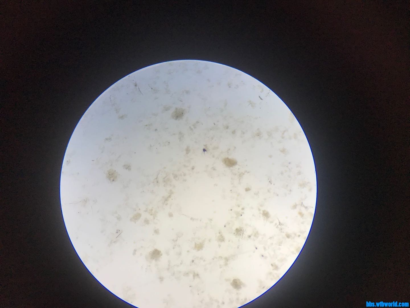
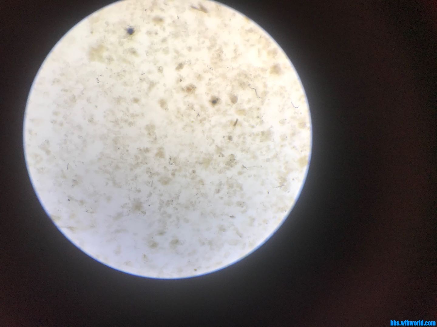
曝气池沉降比90了,溶解氧1.7,微生物镜检应该看什么呀,活性好一些的菌胶团长什么样呢?最后一个曝气池污泥里面都是小气泡,可是溶解氧又没那么高,分析不出来问题,也解决不了问题,有大神辅导一下没?
wechat_upload15934025845ef964d8ce043
wechat_upload15934025845ef964d8eef85
wechat_upload15934025855ef964d927ceb
回复

使用道具 举报

Secretariat | 2020-6-29 12:07:22 来自手机 | 显示全部楼层
看絮体大小,形状,结构,生物相,你这个水感觉像凝胶一样,气水很难分离,
绿水青山就是金山银山
回复

使用道具 举报

耄耄 | 2020-6-29 16:17:12 来自手机 | 显示全部楼层
这个泥曝气和搅拌方式可能有点剧烈。
请说明,什么类型污水,曝气方式,等等信息。
回复

使用道具 举报

刘婷玉 | 2020-6-29 18:52:44 来自手机 | 显示全部楼层
耄耄 发表于 2020-6-29 16:17
这个泥曝气和搅拌方式可能有点剧烈。
请说明,什么类型污水,曝气方式,等等信息。 ...

甲方原有风机风压不够,同时开4台风机才勉强保证出口溶解氧1.9 ,污泥不爱沉
回复

使用道具 举报

墨灬渊 | 2020-6-30 08:17:21 来自手机 | 显示全部楼层
睁开双眼,瞪圆乎
回复

使用道具 举报

不瘦不改名 | 2020-6-30 09:50:16 来自手机 | 显示全部楼层
泥水分界是不是不太明显
回复

使用道具 举报

不瘦不改名 | 2020-6-30 09:50:32 来自手机 | 显示全部楼层
上清液浑浊
回复

使用道具 举报

刘婷玉 | 2020-6-30 15:11:19 来自手机 | 显示全部楼层
不瘦不改名 发表于 2020-6-30 09:50
泥水分界是不是不太明显

根本就不沉降啊,愁死了。
回复

使用道具 举报

小污师护水清 | 2020-6-30 15:30:20 来自手机 | 显示全部楼层
刘婷玉 发表于 2020-6-30 15:11
根本就不沉降啊,愁死了。

好氧池取点泥水混合物,加点pac做做实验。如果有效果就按小试比例投加。沉下来后在出水不超标的前提下排泥。把污泥浓度降下来。应该就可以改善。老规矩:个人建议,供参考。
回复

使用道具 举报

刘婷玉 | 2020-6-30 21:37:40 来自手机 | 显示全部楼层
小污师护水清 发表于 2020-6-30 15:30
好氧池取点泥水混合物,加点pac做做实验。如果有效果就按小试比例投加。沉下来后在出水不超标的前提下排 ...

污泥浓度才3000左右 现在每天排10分钟 也不敢多排呀 明天试试加pac吧
回复

使用道具 举报

您需要登录后才可以回帖 登录 | 注册 微信登录

本版积分规则