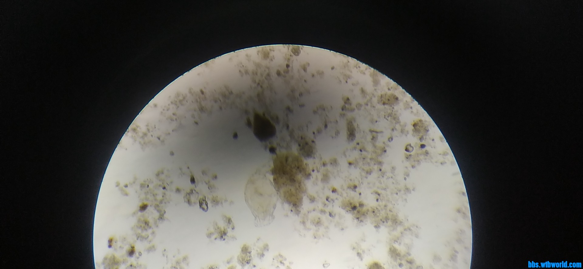
图片大家看下是小口钟虫不?

[复制链接]
查看1146 | 回复13 | 2021-12-22 11:20:53 来自手机 | 显示全部楼层 |阅读模式
图片大家看下是小口钟虫不?
wechat_upload164014337261c29a0c9eaf5
wechat_upload164014337361c29a0d17c63
未经审视的人生,不值得一过!
回复

使用道具 举报

涤生(昊) | 2021-12-22 11:23:52 | 显示全部楼层
还有个轮虫的视频,不知为啥上传不了
回复

使用道具 举报

Ing_Wen | 2021-12-22 11:41:11 来自手机 | 显示全部楼层
是的是的是的是的是的
回复

使用道具 举报

碧海王 | 2021-12-22 11:52:45 来自手机 | 显示全部楼层
我看着像轮虫,不像钟虫
回复

使用道具 举报

李先笙 | 2021-12-22 11:57:29 来自手机 | 显示全部楼层
有点像轮虫的尸体
回复

使用道具 举报

涤生(昊) | 2021-12-22 12:04:04 | 显示全部楼层
李先笙 发表于 2021-12-22 11:57
有点像轮虫的尸体

啊!此话怎讲啊!
回复

使用道具 举报

Secretariat | 2021-12-22 16:10:50 来自手机 | 显示全部楼层
轮虫的尸体
绿水青山就是金山银山
回复

使用道具 举报

Secretariat | 2021-12-22 16:40:12 来自手机 | 显示全部楼层
涤生(昊) 发表于 2021-12-22 12:04
啊!此话怎讲啊!

钟虫的柄没那么粗
绿水青山就是金山银山
回复

使用道具 举报

李先笙 | 2021-12-22 17:41:59 来自手机 | 显示全部楼层
旋轮虫的尸体
回复

使用道具 举报

小凤65270 | 2021-12-23 09:44:33 来自手机 | 显示全部楼层
我看着像它
wechat_upload164022386361c3d477dce61
回复

使用道具 举报

您需要登录后才可以回帖 登录 | 注册 微信登录

本版积分规则