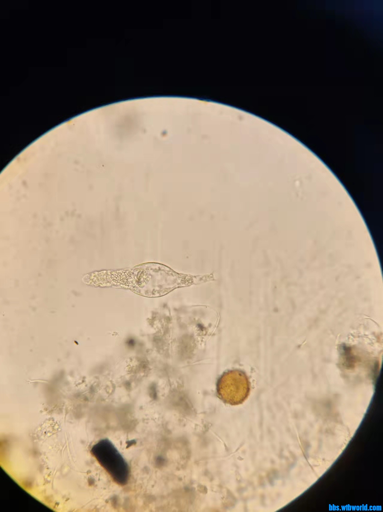
有点像轮虫

[复制链接]
查看772 | 回复6 | 2021-11-28 11:05:37 来自手机 | 显示全部楼层 |阅读模式
躯体透明,游动好像很慢很慢,基本上看不出在动
wechat_upload163806869261a2f1d400a4f
回复

使用道具 举报

Secretariat | 2021-11-28 13:03:48 来自手机 | 显示全部楼层
是一种轮虫
绿水青山就是金山银山
回复

使用道具 举报

浩峰 | 2021-11-28 14:28:09 | 显示全部楼层
过来学习一下,谢谢分享
回复

使用道具 举报

皮皮虾 | 2021-11-28 21:50:18 来自手机 | 显示全部楼层
这种透明的,不是已经挂了就是在挂掉的路上
回复

使用道具 举报

太善良 | 2021-11-29 09:28:17 来自手机 | 显示全部楼层
轮虫,确实快不行了
出言有尺,嬉闹有度,做事有余,说话有度
回复

使用道具 举报

一声 | 2021-11-30 16:20:01 来自手机 | 显示全部楼层
皮皮虾 发表于 2021-11-28 21:50
这种透明的,不是已经挂了就是在挂掉的路上

原来如此
回复

使用道具 举报

碧海王 | 2021-11-30 19:32:11 来自手机 | 显示全部楼层
轮虫      
回复

使用道具 举报

您需要登录后才可以回帖 登录 | 注册 微信登录

本版积分规则