污泥上浮,老化,发白

[复制链接]
查看2445 | 回复12 | 2021-11-26 17:29:07 来自手机 | 显示全部楼层 |阅读模式
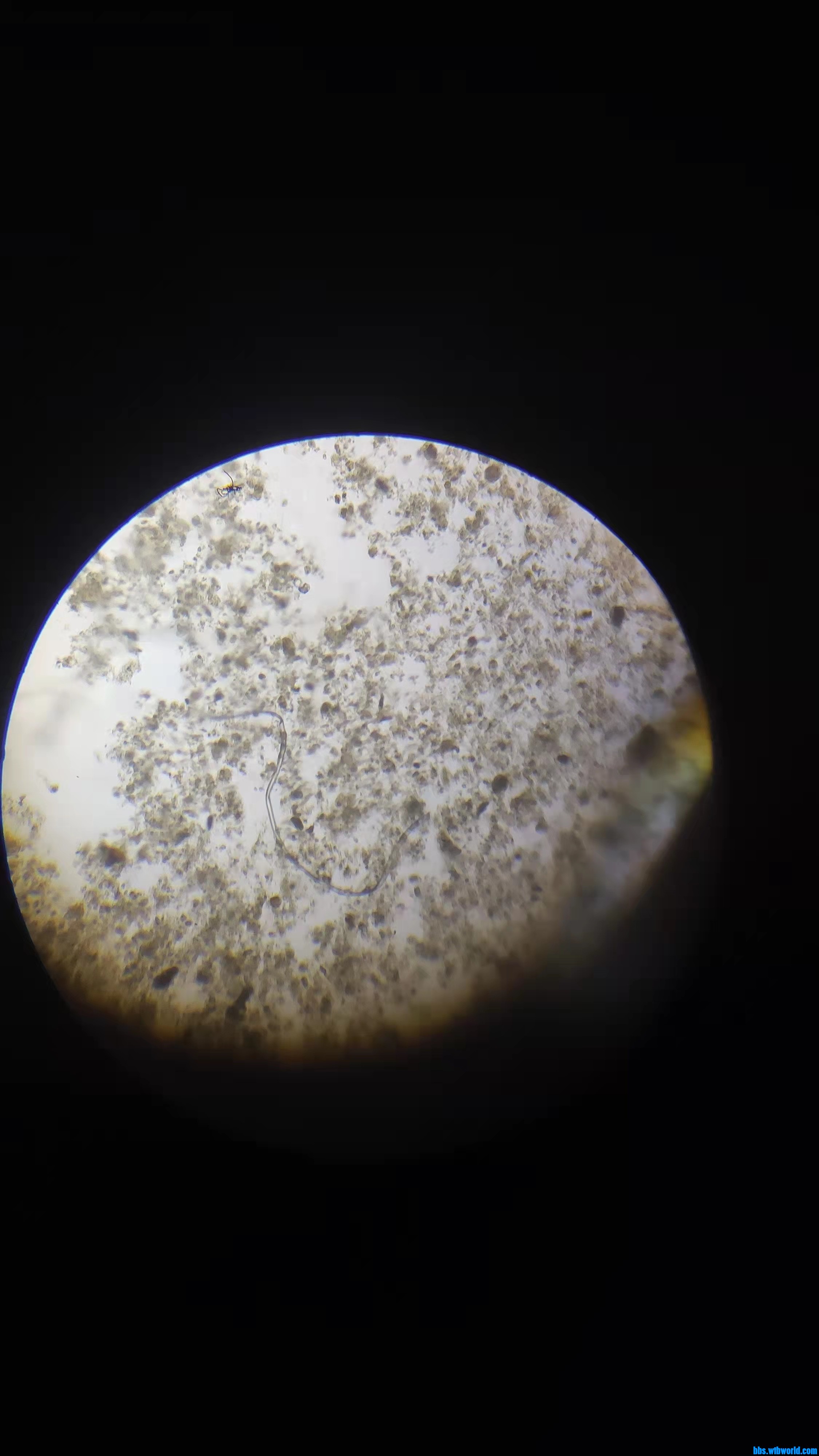
污泥上浮严重,污泥存在老化。生活污水厂倒置AAO,实验污泥浓度 第6500左右,出水总氮9.0左右,SV3070左右,进水COD平均150,进水总氮18,进水量在27000左右
wechat_upload163791875861a0a8265c491
wechat_upload163791875961a0a82765c10
wechat_upload163791876061a0a828b52f8
wechat_upload163791876161a0a829bde1f
wechat_upload163791876261a0a82a849ec
wechat_upload163791876361a0a82b976dd
wechat_upload163791876461a0a82c712ce
wechat_upload163791876561a0a82d6f76d
wechat_upload163791876661a0a82e3abd0
回复

使用道具 举报

皮皮虾 | 2021-11-26 19:19:02 来自手机 | 显示全部楼层
加强排泥,控制一下溶解氧。第一个是什么水池,那么多泥
回复

使用道具 举报

小巫师 | 2021-11-26 20:10:09 | 显示全部楼层
看数据很正常呀,缺氧池上浮基本上是搅拌能力不足活着污泥浓度太高导致的,曝气池浮渣还算正常,因为你的曝气太小了,虽然你的污泥浓度高,但是SV上清液很清澈,泥面也平,菌胶团看着也不错呀只要出水没问题都不是问题
回复

使用道具 举报

永远 | 2021-11-26 21:17:25 来自手机 | 显示全部楼层
sv30有较多,类似油脂、悬浮的东西,污泥老化,排泥
回复

使用道具 举报

東518630 | 2021-11-26 21:42:15 来自手机 | 显示全部楼层
皮皮虾 发表于 2021-11-26 19:19
加强排泥,控制一下溶解氧。第一个是什么水池,那么多泥

第一个池是小的曝气池,但是测do范围在0.48左右。水面上都是泥
回复

使用道具 举报

放牛班班长 | 2021-11-27 10:22:16 来自手机 | 显示全部楼层
出水水质没问题就这样保持着,毕竟天冷了。
回复

使用道具 举报

LV935100 | 2021-11-27 11:48:34 来自手机 | 显示全部楼层
mlss过高污泥老化,曝气过大解絮。
回复

使用道具 举报

那片雪 | 2021-11-27 12:46:15 来自手机 | 显示全部楼层
污泥浓度控制的很高啊!冬天是提高浓度,也不至于很高吧!负荷低
回复

使用道具 举报

刘波45010 | 2021-11-27 15:04:56 来自手机 | 显示全部楼层
碳源不够,加点碳源,排点泥
回复

使用道具 举报

我非小鱼儿 | 2021-11-27 17:38:21 来自手机 | 显示全部楼层
東518630 发表于 2021-11-26 21:42
第一个池是小的曝气池,但是测do范围在0.48左右。水面上都是泥

0.48兼氧用了
回复

使用道具 举报

您需要登录后才可以回帖 登录 | 注册 微信登录

本版积分规则