今日微生物镜检分享

[复制链接]
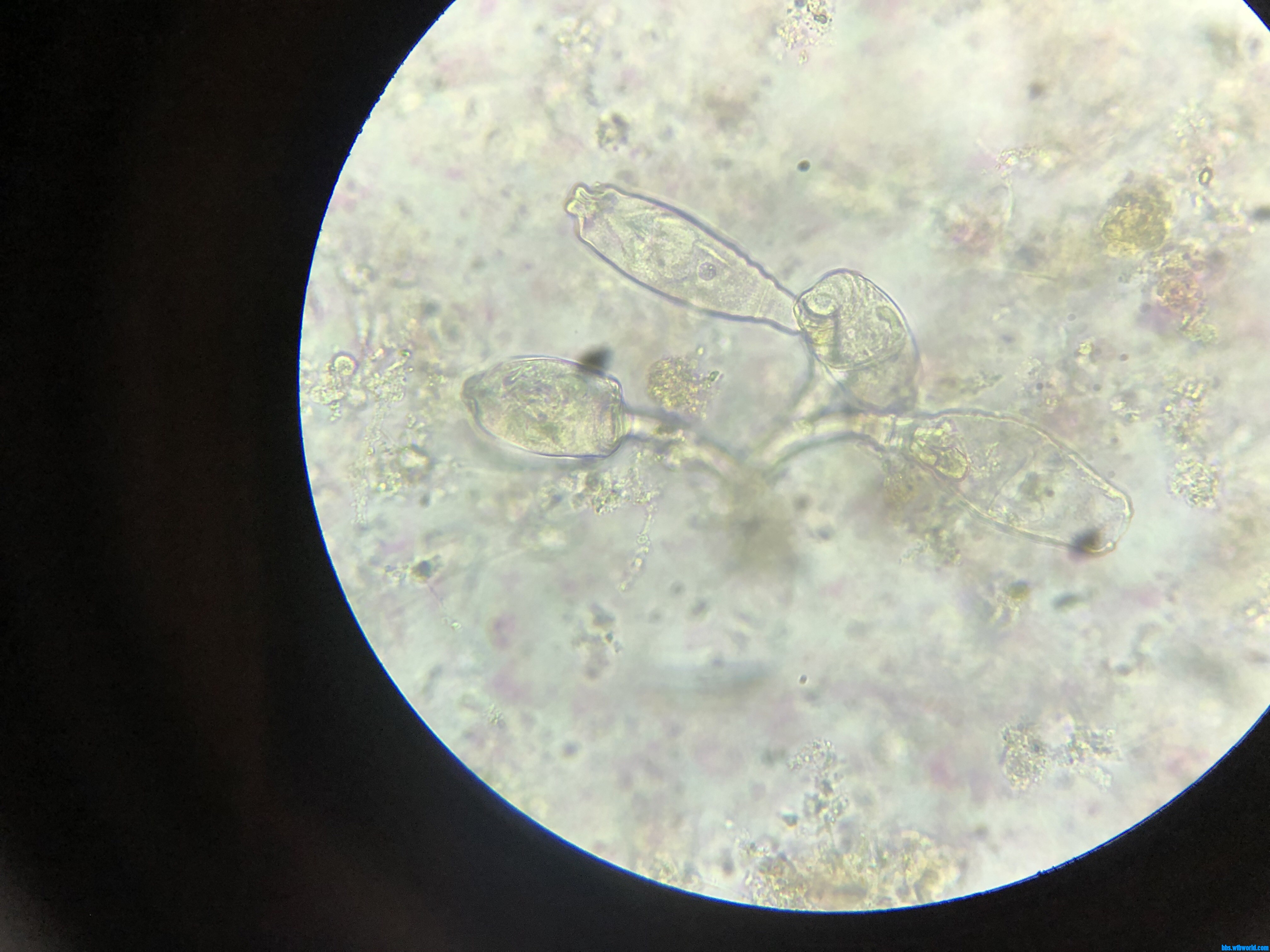
查看849 | 回复2 | 2020-5-22 17:10:07 来自手机 | 显示全部楼层 |阅读模式
wechat_upload15901401205ec79cd86411b wechat_upload15901401215ec79cd9383ee wechat_upload15901401225ec79cda2475e wechat_upload15901401225ec79cdae7d62 wechat_upload15901401235ec79cdbb6183
回复

使用道具 举报

Secretariat | 2020-5-22 17:19:03 来自手机 | 显示全部楼层
是刚毛么
绿水青山就是金山银山
回复

使用道具 举报

pcilry | 2020-5-22 17:42:33 来自手机 | 显示全部楼层
Secretariat 发表于 2020-5-22 17:19
是刚毛么

觉着是红斑顠体虫
回复

使用道具 举报

您需要登录后才可以回帖 登录 | 注册 微信登录

本版积分规则