大佬们帮忙看看这些都是什么微生物呀

[复制链接]
查看708 | 回复10 | 2025-10-21 13:51:49 来自手机 | 显示全部楼层 |阅读模式
IMG_20251016_161712.jpg
IMG_20251016_161657.jpg
IMG_20251016_161356.jpg
IMG_20251016_160955.jpg
IMG_20251016_160655_edit_937570346950417.jpg
回复

使用道具 举报

寻梦少年 | 2025-10-21 14:06:19 | 显示全部楼层
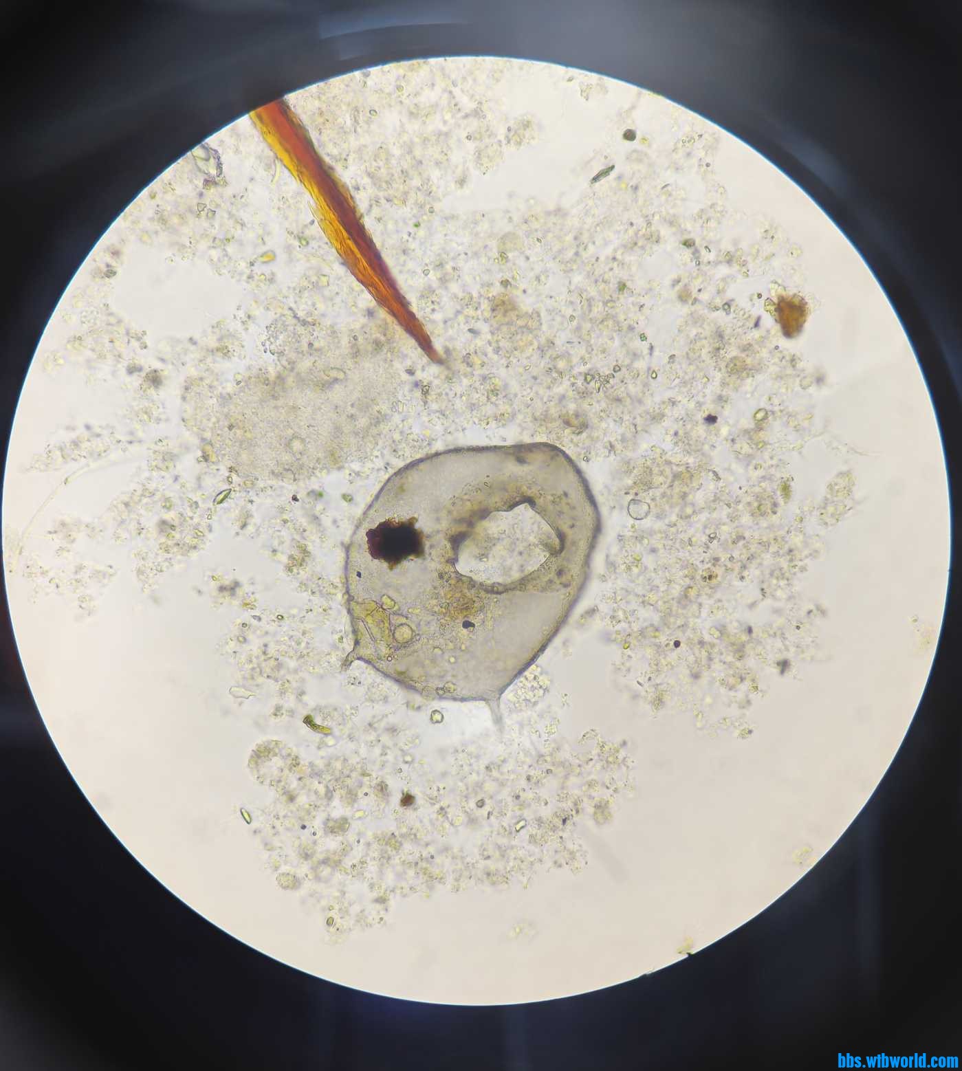
轮虫、摩门虫、表壳虫
回复

使用道具 举报

月明 | 2025-10-21 21:53:10 来自手机 | 显示全部楼层
寻梦少年 发表于 2025-10-21 14:06
轮虫、摩门虫、表壳虫

谢谢大佬~
回复

使用道具 举报

寻梦少年 | 2025-10-22 08:50:16 | 显示全部楼层

客气了,有问题可以随时沟通交流。
回复

使用道具 举报

渡口 | 2025-10-22 09:18:29 | 显示全部楼层
挺全得   轮虫2个,是2种。   摩门  杯居 鞘居这个三个我老是混淆。
回复

使用道具 举报

Secretariat | 2025-10-22 11:49:09 来自手机 | 显示全部楼层
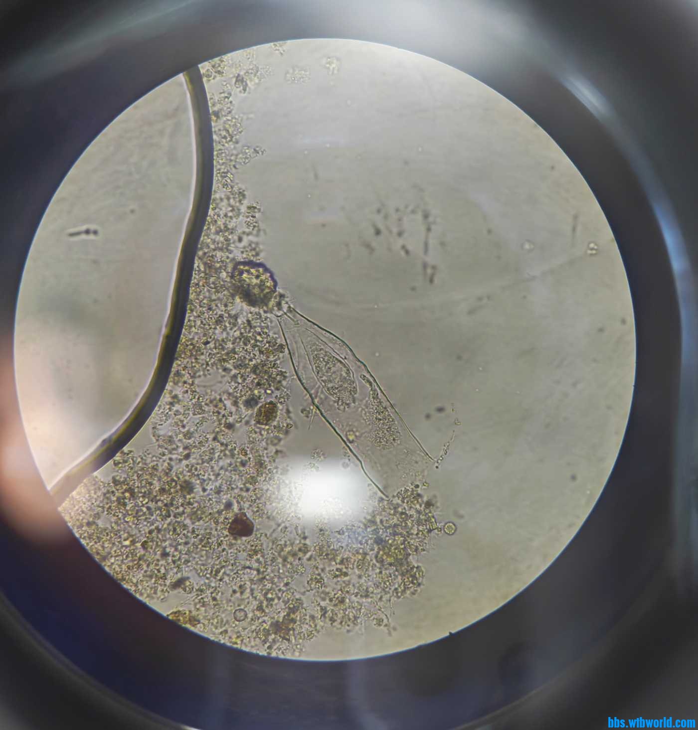
第四张图前管虫属吧
绿水青山就是金山银山
回复

使用道具 举报

阿土 | 2025-10-22 14:06:32 来自手机 | 显示全部楼层
Secretariat 发表于 2025-10-22 11:49
第四张图前管虫属吧

大概率,不动还不太好判断
回复

使用道具 举报

阿土 | 2025-10-22 14:07:35 来自手机 | 显示全部楼层
轮虫两种,第一种忘记了,第二种好像猪吻轮虫
回复

使用道具 举报

Secretariat | 2025-10-22 14:51:06 来自手机 | 显示全部楼层
阿土 发表于 2025-10-22 14:06
大概率,不动还不太好判断

身体比较柔软,属于灵活的胖子
绿水青山就是金山银山
回复

使用道具 举报

萧哥很帅 | 2025-10-23 07:57:05 来自手机 | 显示全部楼层
轮虫,表壳虫
回复

使用道具 举报

您需要登录后才可以回帖 登录 | 注册 微信登录

本版积分规则